患者有丙肝病史,出现呕血1天,有什么更好治疗方法?手术还是保守?经止血药物应用,现呕血停止,出现呃逆,是什么原因?
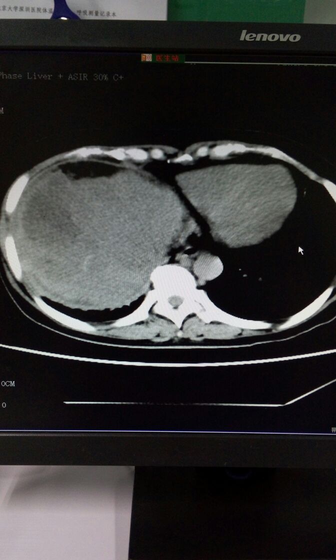
女,56岁,发现丙肝抗体阳性10余年,腹胀10余天。上腹部CT+增强如图。诊断?
上海医师在线信息技术有限公司 版权所有 © 沪ICP备12005625号-1