13 岁男性患儿,因间断单侧面部肿胀伴口腔疼痛 9 月就诊,大便为非血性稀便。
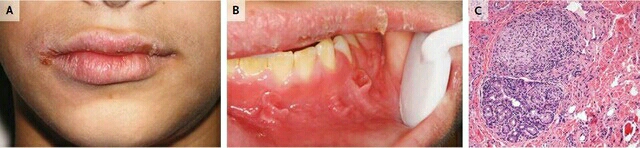
体格检查: 面部及唇部非对称性肿胀,可见垂直裂隙。口腔内检查示牙龈散在红斑增生及颊粘膜皱襞可见似缝龈瘤的附属物。病理检查示肉芽肿性炎症,与克罗恩病相符。
图 . A 为患儿面部及唇部非对称性肿胀,可见垂直裂隙;B 为牙龈散在红斑增生及位于颊粘膜皱襞的似缝龈瘤的附属物;C 为病理表现符合克罗恩病表现的肉芽肿性炎症。
随后,患儿转入消化内科,进一步体检发现其脐周及右下腹压痛,同时存在直肠裂隙、无痛性直肠皮肤附属物。肠镜活检示:以盲肠及升结肠为主的慢性活动性结肠炎,进一步支持克罗恩病诊断。
予美沙拉嗪及泼尼松治疗并缓慢减量,以巯嘌呤巩固治疗以维持缓解, 1 年后患儿口腔病变消失。随访 2 年,症状未再复发。