冻疮 ( pernio )
病例图片

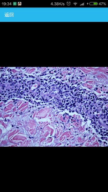
患者,女性,34岁,臀部、股部疼痛性皮疹1周(于12月份就诊)。 病史患者有指趾反复冻疮病史6年,无吸烟史及家族类似病史。患者否认长期或偶尔服药史。身体质量指数无异常。虽然之前指趾冻疮,但未见其他伴随的体征或症状,如发烧、关节痛、Raynaud现象及其他皮疹。患者为家庭主妇,有时在室外的花园工作,最低温度可达6-13℃。冬季常穿单薄紧身衣物。无其他诱发因素。包括自身免疫标记物(抗核抗体-ANA、抗ENA抗体、抗ds-DNA抗体和抗磷脂抗体),类风湿因子、补体、冷球蛋白、冷凝集素、梅毒、和抗体HIV和B型和C型肝炎等在内的实验室检查呈阴性。 临床表现体格检查显示,在臀部(图1和图2)和大腿(图3和图4)两侧可见红绀病样的丘疹和斑块,其大小在1~10cm(长轴)之间。大多数斑块表现为环状,边缘红色清晰,中央浅青紫色(图4)。 皮肤活检显示,真皮乳头状水肿,血管周围淋巴细胞炎性浸润(图5),并伴有局灶性纤维素样坏死和淋巴细胞性血管炎(图6)。 诊断:根据病史,临床检查,组织学特征以及实验室检查阴性,确诊为腿部和臀部特发性冻疮。 治疗:建议患者穿着保暖、宽松衣物;给予缓释硝苯地平30 mg,1次/天,以及二丙酸倍他米松软膏。皮损得到改善,治疗10天后几乎完全消退。

马甲 6 0

上海医师在线信息技术有限公司 版权所有 ©   沪ICP备12005625号-1