动脉瘤
病例图片

患者,男,38岁,患者10个月前无明显诱因出现发热,Tmax 38℃,发热无明显规律,否认畏寒、寒战、乏力、盗汗,否认咳嗽、腹痛、腹泻、尿频、尿痛,无皮疹和关节肌肉痛。在当地诊所查血白细胞(WBC)11.2×109/L,中性粒细胞(Neut)82.8%,给予头孢类抗生素治疗效果不佳。当地医院考虑"结核",予以异烟肼、利福平、吡嗪酰胺抗结核治疗5个月,效果不显著,仍有发热。 临床表现发热10个月,伴腰痛、腹痛2个月。 血常规WBC(8.10~10.9)×109/L(正常值4.0×109~10.0×109/L),Neut 73.5%~76.4%(50%~75%),血红蛋白(Hb) 107~110 g/L(男120~165 g/L),血小板(Plt) (427~489)×109/L[(100~350)×109/L];尿常规、便常规+隐血均阴性。肝肾功能、肌酶谱正常;血沉(ESR)53 mm/1h(男<15 mm /1h),C反应蛋白(CRP) 69.3 mg/L(0~8.0 mg/L)。感染方面:乙肝五项、快速梅毒血清反应(RPR)、抗EB病毒抗体(EBV-Ab)、抗丙型肝炎病毒抗体(抗HCV)、抗人免疫缺陷病毒抗体(抗HIV)、布氏凝集试验均阴性,骨髓培养阴性×1次。肿瘤标志物:血癌胚抗原(CEA)、糖链抗原CA19-9、CA125、CA242、CA50和甲胎蛋白(AFP)均正常。结缔组织病方面:抗核抗体(ANA)、抗双链DNA抗体(抗ds-DNA)、抗中性粒细胞胞浆抗体(ANCA)、人类白细胞抗原(HLA-B27)均阴性。胸片(-)。超声心动图(UCG):无心包积液,主动脉后壁及左房侧壁外可见中等度强回声。腹部超声(-)。 多发大动脉动脉瘤,系统性血管炎。 患者为诊断:多发大动脉动脉瘤诊断明确,有发热,ESR、CRP等炎症指标增高,考虑有系统性血管炎的可能,病情活动,动脉瘤形成时动脉壁撕裂引起腰痛、腹痛。累及大动脉的血管炎病变有:(1)Takayasu动脉炎,又称无脉症,多发生在女性,引起动脉闭塞,引起动脉瘤较少见。(2)巨细胞动脉炎,多见于老年人,有头痛、咀嚼无力、视力受损等症状,该患者的临床表现不支持。(3)白塞病(Behcet's disease),需要再仔细询问有无口腔、外阴溃疡和眼葡萄膜炎病史。 治疗让患者严格卧床,控制血压,口服甲泼尼龙40 mg bid,环磷酰胺(CTX)0.2 g qod静脉注射,镇痛、镇静治疗。 下一步的问题是对于动脉瘤的处理。患者动脉瘤的病因是白塞病所致,目前其血沉、CRP增高,处于病情活动期,为手术禁忌,暂不能手术治疗。在血管外科、介入科和心内科等多科会诊后达成共识:给予长效血管紧张素转换酶抑制剂(ACEI)、钙通道阻滞剂(CCB)和少量利尿剂控制血压,患者可以行支架置入术,但有再发动脉瘤及血栓形成的风险,且费用昂贵。经与患者和家属沟通后决定继续内科保守治疗。 是否需要抗痨治疗呢?患者PPD皮试(++),胸部和腰椎影像学检查未发现活动性结核病灶,且经过正规三联抗结核治疗5个月疗效欠佳,这些均不支持活动性结核,多浆膜腔积液和发热可以用血管炎解释。但结核感染和白塞病发病有关联。患者既往有结核病史,现应用大剂量糖皮质激素和免疫抑制剂,可能引起结核病复发,另外患者在抗痨治疗中无明显药物不良反应,故继续抗结核治疗。 经过上述治疗,患者体温控制,未再出现明显腹痛症状,病情平稳出院。目前该患者还在随诊中。

马甲 3 0
病例图片

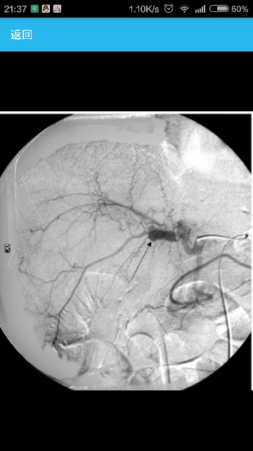
女性,42岁,因“进食后右季肋部疼痛,体重下降伴随阻塞性黄疸4个月”入院。临床表现患者右上腹有一触痛肿块。 辅助检查生化检验显示与梗阻性黄疸改变一致(胆红素76μmol/L,碱性磷酸酶653U/L,谷丙转氨酶281U/L,γ谷氨酰转移酶(γGT)1792U/L)。腹部超声(USS)提示厚壁胆囊胆结石及肝内胆管扩张,但无胆总管(CBD)结石或哈特曼氏囊(胆囊颈部的囊)嵌顿结石。磁共振胰胆管成像(MRCP)提示在肝总管狭窄上方还存在肝内胆管扩张,未见与之相关的胆结石。内镜逆行胰胆管造影(ERCP)示肝门狭窄且已置入支架。冲刷细胞学检查阴性。患者的黄疸状况得以解决。计算机断层扫描(CT)示胆囊窝周围肿块和环形钙化。肿块扩至肝外累及十二指肠并伴有门静脉及其左,右分支包绕肝门。虽然也考虑Mirizzi综合征的可能,但形态被认为与晚期胆囊癌一致。患者随后出现黑便,贫血并输血4个单位。 食管胃十二指肠镜检(OGD)证实出血来自于壶腹部(胆道出血),无消化性溃疡。动脉造影证实一个肝右动脉分支上有一3厘米大小动脉瘤,CT显示肿块中间部位。动脉瘤栓塞成功。两次CT引导下经皮穿刺肿块活检,其结果显示不是肿瘤而仅仅是急性炎症组织及坏死组织。由于不确定其恶性进程的存在,于是进行了剖腹探查。进入坏死的肝肿块,可见大量机化血栓及结石从肝右叶排出。 诊断:MirizziⅡ型综合征。 治疗对胆囊进行了切除。探查中发现一个4厘米大小的胆结石由胆囊管通过窦道进入肝总管从而导致MirizziⅡ型综合征。假性动脉瘤位置紧靠结石上方。对胆总管进行了探查。未见胆总管结石或内在病变。插入T型管并在肝腔留置引流管。患者术后恢复顺利,T型管于2周后拔除。病理检查证实是坏死性炎性肿块而非肿瘤。

马甲 11 0

上海医师在线信息技术有限公司 版权所有 ©   沪ICP备12005625号-1