卒中
病例图片

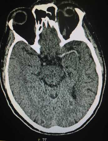
患者男性,23 岁,临床表现神清合作,中度贫血貌,对答切题,言语表达正常,右额颞头面部及胸背部可见大片咖啡样色素斑块沉积,右额颞部巨大头皮包块,约16 cm×12 cm×26 cm 大小,右侧眼睑水肿,结膜充血,眼球脱出眼眶、红肿,已失明,左侧视力尚可,瞳孔形圆,对光反射存在(图1)。面部感觉可,露齿、鼓腮正常,口角无歪斜,双侧听力粗测正常,余颅神经正常,躯体浅深感觉正常,四肢肌力、肌张力正常,颈阻阴性,双侧肢体共济运动正常,双侧膝反射正常,双下肢病理征未引出。 血常规:WBC 8.0×109/L,RBC 3.0×109/L,Hgb 92 g/L,PLT 276×109/L。肝肾功能未见明显异常。入院头颅增强CT及CTA(图2):右侧眼眶增大,右侧眼眶球后可见一不规则肿块影,边界尚清,CT值约16 HU,密度尚均匀,范围约3.8 cm×10 cm×3.3 cm,增强后未见明显强化,右侧眼眶眶壁受压并见骨质变薄,右侧眼球受压、变形并向右前移位,邻近眼肌及视神经受压前移,右侧眶尖明显增大,病灶经眶尖向右侧蝶窦、右侧海绵窦及鞍区生长,右侧额部皮下可见一巨大不规则肿大影,平扫呈高、低混杂密度影,增强后明显不均匀强化,范围约16 cm×12 cm×26 cm,邻近额骨、颞骨、颧骨骨质明显变薄并稍毛糙,骨质未见确切中断,病灶与周围肌肉分界欠清;左侧额骨局部呈膨胀性骨质破坏,其内密度不均匀,可见多发结节高密度影,骨皮质未见中断,周围未见确切肿块形成。心电图:大致正常心电图。腹部B 超:未见明显异常。 患者病情进展快,针吸细胞学检查未能明确病理,病变性质尚不明确,结合病史、头颅CT 及CTA 检查,临床考虑神经纤维瘤伴瘤卒中可能性大。患者手术指征明确,无绝对手术禁忌,与家属充分沟通后于2014年11月5日行全麻下右额颞部颅眶沟通巨大神经纤维瘤切除术,手术较顺利(图3)。术中失血多,出血约1600 ml,输血800 ml,术后予抗炎、止血、营养支持等治疗,因患者贫血较明显,输红细胞悬液400 ml 支持治疗。

马甲 1 0

上海医师在线信息技术有限公司 版权所有 ©   沪ICP备12005625号-1