呼吸内科
病例图片

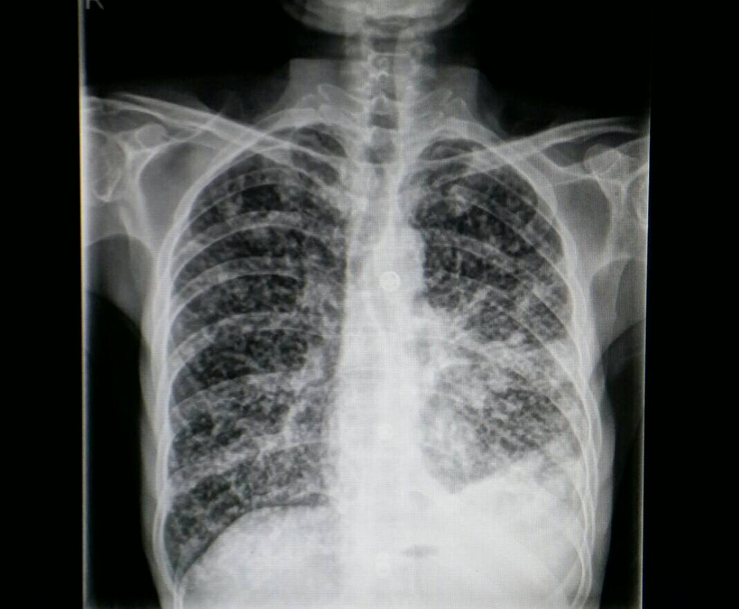
答案公布前第一位答对且分析有理有据者者获1000积分!答案将于一周后公布 恭喜manbuyunduan医生,您是以第一位答对并且补充了详细说明,获得1000积分奖励!也特别感谢圣艮山先生提供这么好的病例给大家讨论,开拓思路,因此也同时赠送1000积分! 周XX,男,20岁    主诉:反复发热、皮疹3月余 入院情况:患者2009年1月底汗出受风后出现双膝粟粒样红色皮疹,高于皮面,压之退色,伴瘙痒,当时无发热、肌肉关节痛等,当地医院予脱敏治疗后皮疹消退,几天后病情反复同前,改予阿奇霉素治疗5天症状再次好转。 约1周后无明显诱因出现左手中指、无名指近端指间关节疼痛伴肿胀,当地查类风湿因子阴性,予以氟轻松外用后肿痛减轻。此后先后又出现右手腕关节、双肘关节疼痛,皮温皮色均无异常,关节局部无肿胀。 2月7日开始无明显诱因反复发热,时伴畏寒、寒战,体温最高曾达41℃,伴周身散在皮疹同前,四肢肌肉酸痛,踝关节、腕关节、肘关节间断疼痛,退热治疗后体温下降,皮疹随之消退,关节肌肉酸痛减轻。外院查血常规:WBC明显升高(数值不详),予以抗感染、外用三九皮炎平并配合自制中成药治疗,体温高峰有所下降,但仍反复发热、以中度发热为主,伴周身散发皮疹。 3月中旬上述症状加重,肌肉酸痛明显,在当地医院查血常规:WBC 20.3×109/L,N 87.9%;肝全:ALT 84U/L,AST 37U/L,4ALB 33g/L;抗结核抗体阴性;ESR 46mm/h;CRP 22.8mg/L;ANA核仁型1:320,抗Sm 13.5KD(+),抗RNP 32KD(+),抗SSA 52KD(+),抗Jo-1(+);类风湿因子阴性;抗CCP抗体阴性;IG、补体、ASO均未见异常。予静脉应用甲基强的松龙40mg Bid*4天,期间体温恢复正常,皮疹基本消退,肌肉及关节酸痛消失。后激素减为强的松60mg Qd*3天,因症状反复停药出院。

圣艮山 90 0

上海医师在线信息技术有限公司 版权所有 ©   沪ICP备12005625号-1