夹层
病例图片

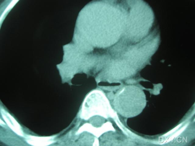
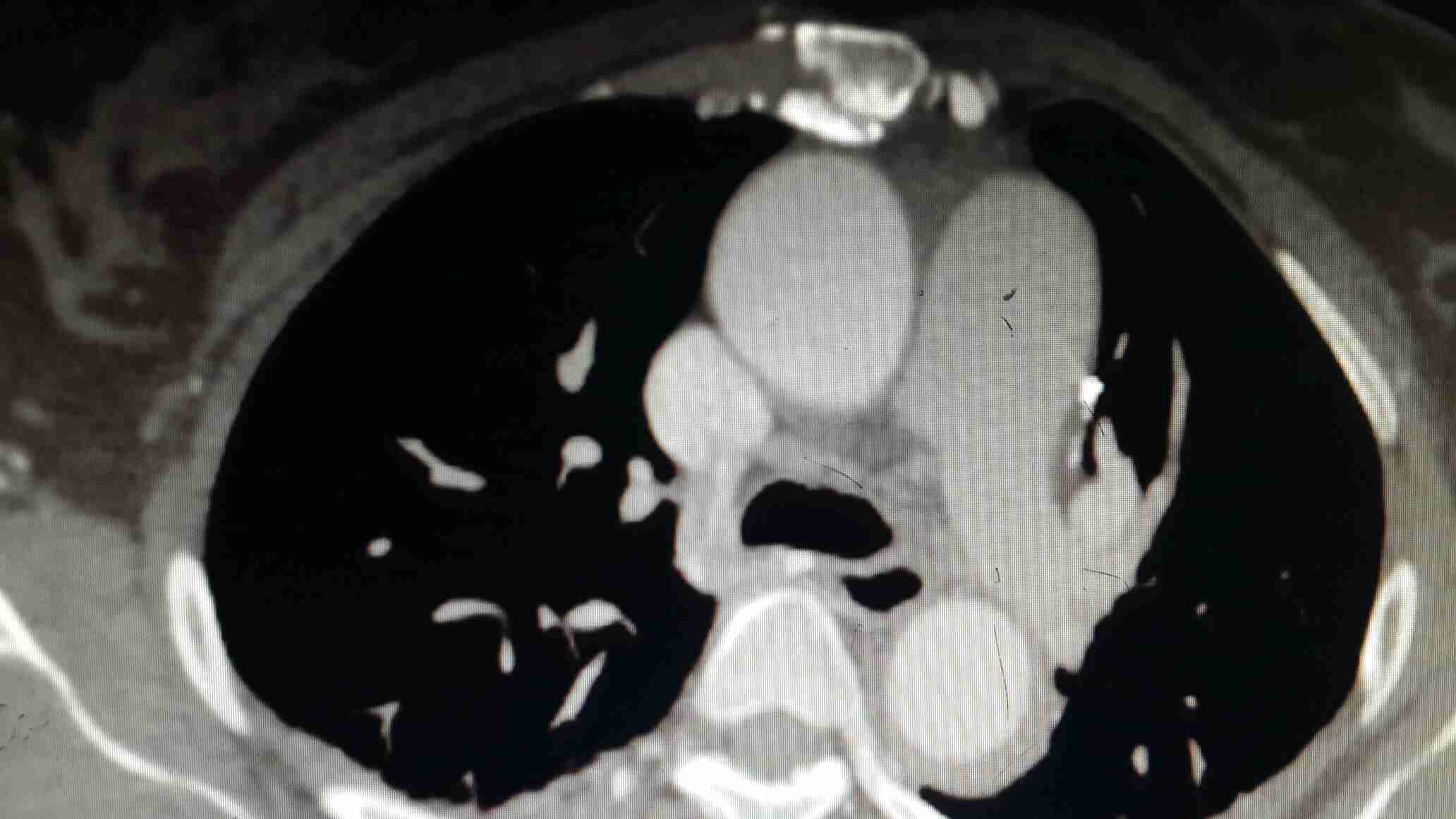
此病例是偶一年前管的一个病人,今来复诊,忽觉得其有一定的代表意义,说给大家,同时期待听到大家的不同声音,来促进学习。 患者某某,男,65岁 以“突发钻顶样胸背痛2小时”为主诉入院。 患者两小时前于情绪激动后突发钻顶样后背痛,疼痛一开始即达高峰,难一忍受忍,轻微走动后旋即又出现前胸部疼痛,性质相同,持续不缓解,伴出汗,恶心,未吐,无黑朦晕厥,无肢体活动障碍,急来我院。急诊行胸部CT后(下图),收入病房。 既往史:高血压病史10余年,最高血压180/100mmHg,未系统用药及检测。否认糖尿病史及冠心病史。有大量吸烟史,至少400年支,无药敏史。 入院时PE: T 36. 5° P 80次/分 R 22次/分 BP 180/95mmHg,其他查体未见阳性体征。 化验:CRP升高(11.8mg/L),WBC 10.3×109/L,肝、肾功,血糖、离子,血淀粉酶等正常。 心电图未见异常。急行床旁超声:主动脉瓣轻---中度返流,左室内假腱索,各心房心室不大,EF值:55% 入院后考虑主动脉夹层,紧急予以硝普钠降压,拜新同、依那普利联用口服降压,美托洛尔减弱心肌收缩力及控制心率,吗啡对症止痛,仍持续疼痛,最后经患者家属签字同意后紧急行主动脉增强CT(下图)。后疼痛逐渐缓解至平稳。 平扫CT报告:主动脉增宽,内密度不均,建议增强 增强CT:自主动脉起始部至腹腔干水平,主动脉影增宽,注药增强过程中,管壁无强化。也没有发现内膜撕裂及假腔。 请教: 您考虑的诊断?治疗? 对本病例诊治的异议?

雷雷蓝沫 5 1

上海医师在线信息技术有限公司 版权所有 ©   沪ICP备12005625号-1