女,21岁,临床表现左侧腰部酸痛6个月
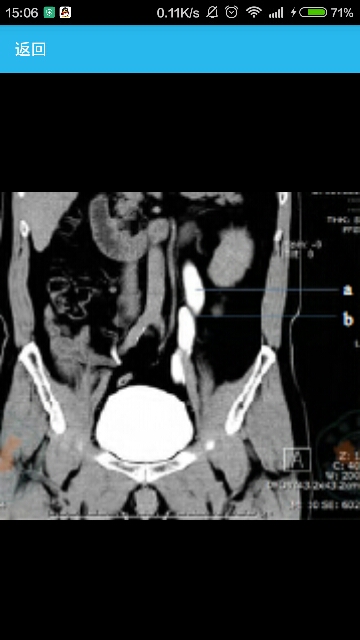
辅助检查超声:左重复肾畸形,左上半肾扩张,左输尿管开口囊肿;逆行肾盂造影:左侧上肾盂肾盏扩张积水明显,肾盏杯口消失,左输尿管下端扩张积水;CT:左重复肾双输尿管,左上半肾积水(如图);MRI:左重复肾伴左上半肾重度积水,引流左上半肾的输尿管中下段明显扩张。
行“经膀胱输尿管囊肿切除术+后腹腔镜左重复肾上肾切除术+开放左重复输尿管切除术”,术中见重复输尿管明显增粗,直径约1 cm,与周围组织粘连严重,有一支肾动脉单独供应上肾,异常输尿管与正常输尿管在下行中交互缠绕;手术时间5 h,术中出血量约80 ml,术后住院14 d。
手术:经膀胱输尿管囊肿切除术+后腹腔镜左重复肾上肾切除术+开放左重复输尿管切除术。