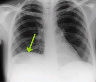
孕妇,女,23岁,孕1产0孕足月入院待产,入院后完善相关检查,未见明显异常,产程进展顺利,7:50宫口开全,指导正确用力,8:00产妇自诉头痛,胎儿胎心音下降70-85次/分,测量血压185/110mmHg,予立即行剖宫产术结束妊娠,8:30术中剖出一活女婴,手术顺利。术后产妇血氧饱和度波动于89-94,当天20:30产妇自诉呼吸困难,血氧波动于80-90之间。诊断?思路?
患者女,26岁,因急性腹痛、呕吐、发热一周入院。一周前患者曾因顺产失败行紧急剖宫产术。查体:发热,心率快,全腹不适。WBC及CRP、血沉均升高。超声如图,可见液体。X线可见气液平。进一步行CT检查确认结果如图。这个是怎么回事?
上海医师在线信息技术有限公司 版权所有 © 沪ICP备12005625号-1