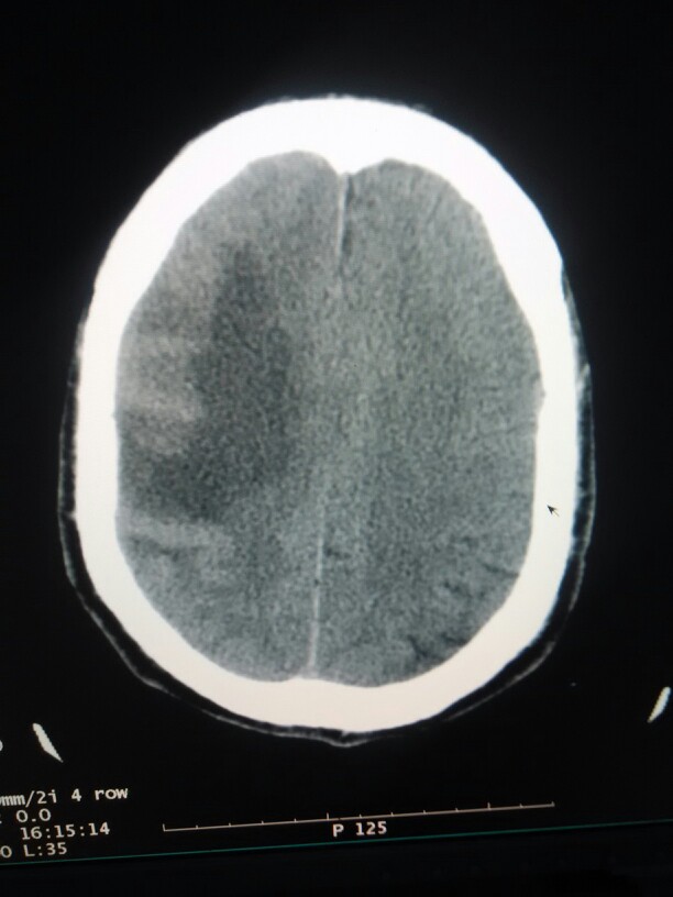
男性患者,60岁。无明显诱因出现,面瘫10天余,伴头痛。来我院做颅脑ct扫描,平扫显示。右侧额颞叶,可见片状等密度为主混杂密度影,CT值21,到31.2不等,周围大片状低密度环绕,周围脑组织明显受压,三脑室受压变形移位,中线结构左移。大家讨论一下考虑是什么样的占位性病变。
上海医师在线信息技术有限公司 版权所有 © 沪ICP备12005625号-1