影像学
病例图片

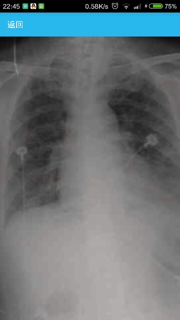
患者女性,61岁,因“发热伴喘憋7天”入院。 病史患者入院前7天,无明显诱因出现发热,最高体温可达39 ℃,伴喘憋和发冷感,无明显寒战,偶有咳嗽,但无明显咳痰,体温高时可感轻度头痛,无意识障碍,无胸痛,无尿频、尿急及尿痛,无腹痛及腹泻。入院前查血常规示,白细胞计数(WBC)13.10×109/L。胸部CT示,双肺内中带多发片状密度增高影。给予头孢噻肟钠和盐酸左氧氟沙星治疗。治疗6天后,患者仍间断发热,体温可达39 ℃。患者4个月前被诊为不典型膜性肾病,给予甲泼尼龙、免疫抑制剂环磷酰胺及抗凝治疗。类固醇性糖尿病2个月。 临床表现体温36.5 ℃,双肺呼吸音粗,未闻及明显干湿性音。双下肢轻度凹陷性水肿。余未见明显异常。 辅助检查WBC 6.6×109/L,中性粒细胞比例90.74%,血红蛋白82 g/L。血沉、C反应蛋白水平显著增高。血气分析:pH值7.53,动脉血二氧化碳分压34 mmHg,动脉血氧分压78 mmHg,动脉血氧饱和度97%。巨细胞病毒(CMV)抗原检测9.36×103 copies/ml;肺泡灌洗液巨细胞病毒DNA检测2.98×104 copies/ml;肺泡灌洗液细菌培养、抗酸杆菌检查、卡氏肺孢子菌检查阴性。影像学检查:胸部X线示,双肺见斑片状高密度影,右侧肋膈角模糊。胸部CT示,双肺见多发斑片、磨玻璃影,伴小叶间隔增厚和双侧少量胸腔积液。 诊断:巨细胞病毒肺炎 治疗给予更昔洛韦、丙种球蛋白及抗生素治疗,呼吸机辅助呼吸。复查X线示,双肺见斑片样密度增高影及索条影,双肋膈角锐利,患者好转。

马甲 11 0

上海医师在线信息技术有限公司 版权所有 ©   沪ICP备12005625号-1