患儿男性,9岁,发现性早熟征象数月余。
病史两个月前,说话声音逐渐变粗;3周前发现腋毛及阴毛开始生长。无头痛,无恶心、呕吐,无视觉变化等。去年一年内患者体重、身高显著增长,生殖器检查符合Tanner分期3期。
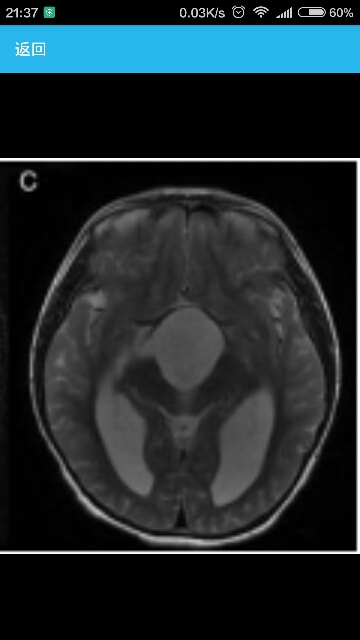
辅助检查头颅MRI可见一51*52*52mm大小,边界清楚的蝶鞍上蛛网膜囊肿,侵入第三脑室。室间孔在脑桥前池和双侧蝶鞍旁区域被堵塞,脑室扩大(图1)。T2像未见进入室管膜的脑脊液,提示为慢性代偿性脑室扩大。
该蛛网膜囊肿在脑垂体漏斗部及视神经交叉部占位效应明显。考虑到压迫脑垂体漏斗部及视神经交叉部的严重程度,以及引起的性早熟症状,予内窥镜囊肿开窗切除术,术后未出现并发症。