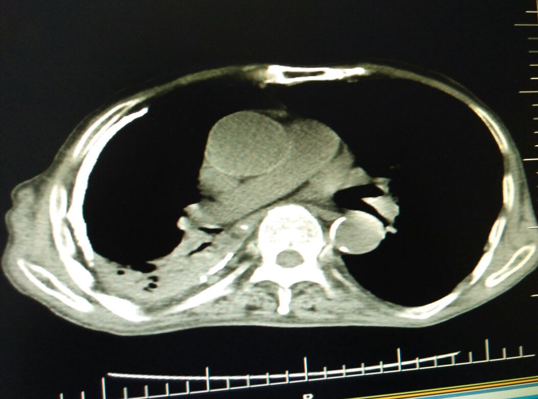
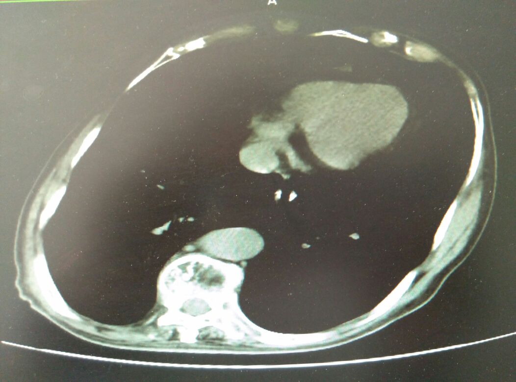
慢阻肺

上海医师在线信息技术有限公司 版权所有 ©   沪ICP备12005625号-1