患者女性,39岁,既往曾被诊断为“肠易激综合征”,现因“严重腹胀发作进行性加剧伴排便困难”来院就诊。
病史患者便秘病史较长,使用多种缓泻药物治疗后效果仍不满意。近期患者结肠镜检查未及明显异常。
临床表现体格检查发现,患者腹部隆起,叩诊呈鼓音,听诊可闻及高调肠鸣音。肛门检查未见肛周病变,排便用力时也未出现会阴下降综合征表现。肛门指诊检查显示,患者肛门括约肌张力较高,模拟排便动作时患者的耻骨直肠肌也未松弛。触诊患者直肠内未及粪块。
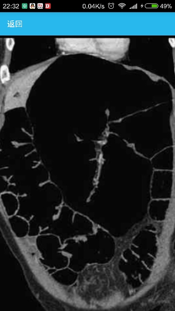
辅助检查CT肠管造影检查显示,患者结肠脾曲扩张严重,未见梗阻性肿物和肠扭转(见图1和图2)。高分辨率肛门直肠球囊扩张测压检查显示,患者肛门括约肌压力较高,存在肛门直肠抑制性反射,当外部牵拉力达到564g时仍不能将直肠内球囊拉出(正常值<200g)。
诊断:排便协调运动障碍伴结肠脾曲综合征。
治疗:进行生物反馈治疗盆底肌肉训练后,本例患者的症状得以缓解。