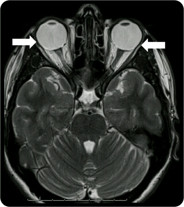
患者女性,30 岁,近视(8 屈光度)伴进展性双眼水平复视 1 年余。既往有慢性偏头痛病史,余病史无特殊。眼球运动检查示共同性内斜视(20 屈光度),右上斜眼(2 屈光度)。MRI(图 1、2)可见重眼综合征的特征表现:眼球后部向颞上脱垂,外直肌退化--上直肌、外直肌下移。外展受限可能是第六对颅神经麻痹所致。该患者经三棱镜治疗后症状明显改善。 图 1. 眼眶 MRI 显示眼球拉长和上外侧移位(图中箭头所示) 图 2. 上直肌拉伸--外直肌带(箭头所示)和外直肌下移,左侧较右侧重
上海医师在线信息技术有限公司 版权所有 © 沪ICP备12005625号-1