水痘 ( chickenpox )
病例图片

患儿,男,3岁,反复皮肤疱疹、坏死、高热1月余。1月余前无明显诱因出现右脸颊2个疱疹,2天后疱疹破溃流黄水,逐渐化脓坏死,出现黑色结痂,面部明显肿胀,间断新出疱疹,疱疹逐渐蔓延至躯干、四肢,散在分布,伴发热,高热为主,每日热峰2~3次,多39.0℃以上。头面、躯干及四肢可见散在皮肤坏死灶及新出疱疹,右侧面颊肿胀,疼痛,张口受限,颈部、腋下及腹股沟处可见数个黄豆大小淋巴结,移动度可,咽腔充血,双侧扁桃体1度肿大,未见疱疹及化脓,双肺呼吸音粗,未闻及干湿啰音,心音有力,律齐,未闻及杂音,腹软,肝肋下约2.0cm,质韧,边锐,脾肋下未及,神经系统查体未见异常。 辅助检查:血常规:白细胞13.01×10*9,红细胞2.33×10*12 ,中性粒细胞20.4% ,淋巴细胞75.2%,异淋 7%,生化:肝肾功及心肌酶基本正常,PCT 0.12ng/ml CRP 13mg/L,免疫球蛋白E 10100U/ml,骨髓片:部分真皮缺损坏死,真皮中上层灶状分布大量淋巴细胞和少量嗜酸性粒细胞,EB病毒免疫球蛋白M阳性。诊断:种痘水痘病样皮肤T细胞淋巴瘤 对症支持治疗,给予激素,丙球静滴,局部皮肤消毒,后转至上级儿童医院继续治疗。种痘水痘样皮肤T淋巴细胞瘤是一种特殊的淋巴瘤,多为T细胞来源,也可来源于Nk细胞,临床表现为皮损,发热,淋巴结肿大及肝脾肿大,确诊需结合临床表现、组织病理、免疫组化等检查。

好人啊 26 0
病例图片

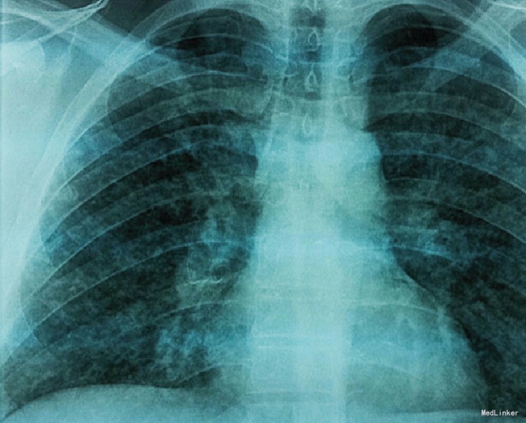
35岁青年男性,因”突然发热,呼吸困难伴胸痛、发疹性水疱”入院。患者吸烟,两个月前患者的两个儿子得水痘。既往无对该病的免疫和接触史。辅查:体温39℃,呼吸窘迫,氧饱和度88%。泛发性多形性瘙痒性皮疹、斑疹、水疱、脓疱及结痂(图1)。实验室检查提示轻度血小板减少及肝酶、乳酸脱氢酶升高。胸片提示结节性间质浸润(图2).动脉血气分析提示低氧性呼吸衰竭,PaO2为51.8 mmHg。HIV阴性。诊断:水痘肺炎;轻度肝功受损 治疗:给予支持治疗,静脉输入阿昔洛韦。随访:治疗一周后,患者完全恢复出院。 讨论:水痘肺炎是由水痘-带状疱疹病毒引起的肺炎。多发生于成年人。主要发病年龄为22-65岁。儿童少见。并发水痘肺炎者其皮疹多较一般病例广泛且严重, 密集融合的疱疹甚至遍及面部、手掌及足底, 口腔及咽部粘膜亦常被累及,皮疹呈出血性。本例患者水痘皮疹广泛。肺炎症状多数出现在发疹后的第2-6天,有在由疹前或延至疹后10 天者。体温高低不定,病情之严重程度有关;咳嗽可呈干咳或有大量痰液,约三分之一病例可有咯血;呼吸急促及紫绀较为常见,出现胸痛者约占25-50%。水痘肺炎的临床症状一般随皮疹的结痂而消失,病程1至14天不等,大多数病程在一周内转佳。胸部X线征象呈两肺弥漫性结节浸润或网织状阴影,病灶可融合呈广泛浸润灶影,常分布于肺门或肺底部。可出现两侧胸腔积液征象。病变较轻者多于1~2周内吸收,亦有延长至数月始吸收者,最后可能遗留散在的钙化灶。水痘肺炎需与继发性细菌感染所引起的支气管肺炎相鉴别。目前对水痘肺炎仅限于积极的对症及支持疗法, 一般病例无需应用激素或抗菌药便可顺利恢复,此外阿昔洛韦(无环鸟苷)治疗有一定效果。肺部严重感染特别是低氧血症并发呼吸衰竭时,除氧疗外,可作气管插管或气管切开,并加用机械呼吸治疗。糖皮质激素一般忌用,因其他原因应用激素者,如病情许可,尽量减至生理量,必要时考虑停用。若水痘病毒除肺组织外尚累及其他脏器和有并发症存在者, 预后不良。妊娠妇女罹患水痘肺炎是否影响预后尚未明确。

好人啊 3 0

上海医师在线信息技术有限公司 版权所有 ©   沪ICP备12005625号-1