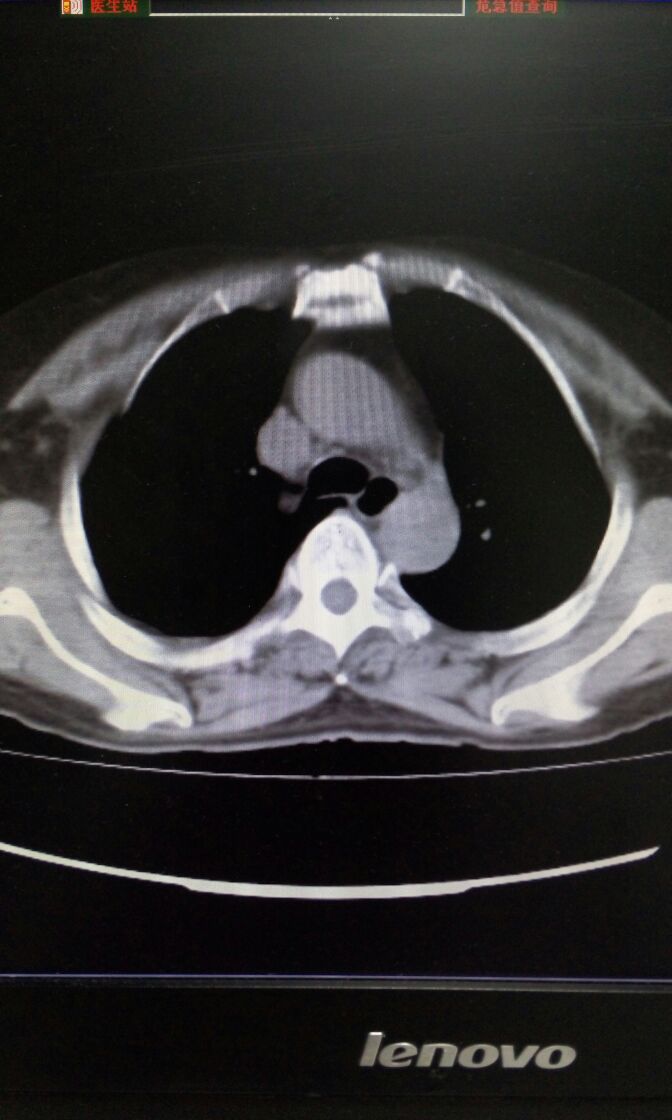
女,65岁,头痛、发热畏寒伴咳嗽咳痰1周。咽拭子流感A抗原阳性。肺部CT如图。诊断和治疗?
女,65岁,头痛、发热胃寒伴咳嗽咳痰1周。咽拭子流感A抗原阳性。肺部CT如图。诊断和治疗?补充纵膈窗
上海医师在线信息技术有限公司 版权所有 © 沪ICP备12005625号-1