患者,老年女性,肠梗阻,淋巴肿瘤后肠套叠。
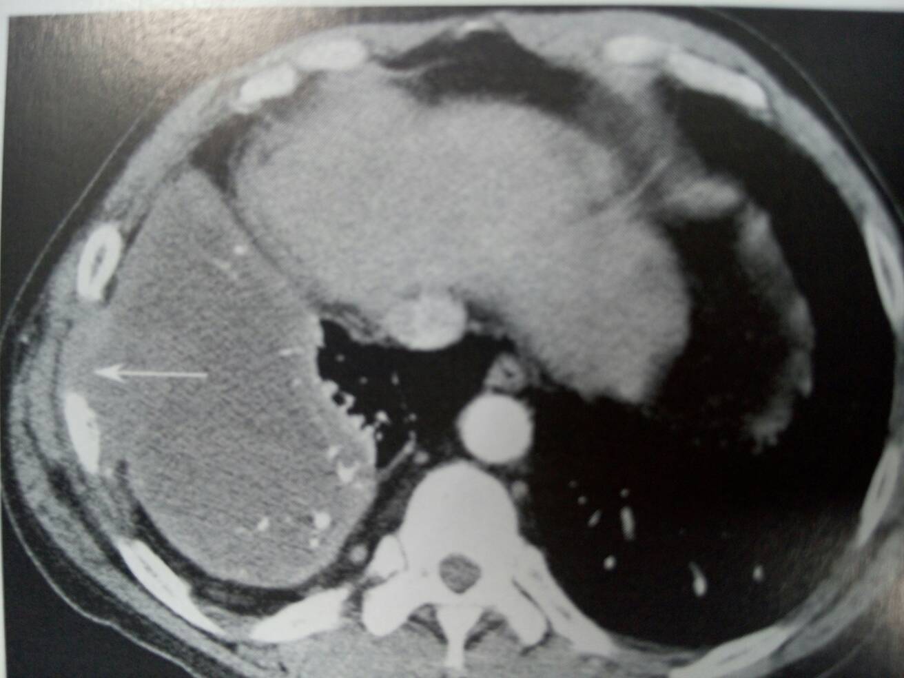
胸膜淋巴瘤。右侧胸腔积液,胸膜有结节样增厚,并有右侧胸壁侵犯及肋骨破坏。箭头所指。
上海医师在线信息技术有限公司 版权所有 © 沪ICP备12005625号-1