纤维肉瘤
病例图片

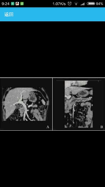
患者,男,42岁  病史6年前行右臀部纤维瘤切除术。1月前无明显诱因出现上腹部持续性隐痛,可耐受,伴恶心,无呕吐,于当地医院查腹部B超显示:胰头区低回声团块,大小约2.6cm×2cm,内部回声不均匀,边界尚清晰,形态欠规则,主胰管扩张,最宽处1cm。血淀粉酶(AMY)升高达160U/L,尿AMY升高达815U/L。肿瘤标记物癌胚抗原CEA、糖链抗原19-9均正常,结合CT平扫+增强考虑恶性病变,遂于2012年12月6日来北京协和医院就诊。 辅助检查入院查肿瘤标记物:糖链抗原242(CA242)、甲胎蛋白(AFP)、CEA、CA19-9均正常。腹部CT增强+胰腺三维重建结果显示:胰头区软组织密度占位,大小约2.3cm×2.9cm,边界欠清晰,平扫CT值约63HU。增强后:动脉期CT值约63HU,门脉期CT值约87HU,延迟期CT值约79HU,增强后各期均低于周围正常胰腺组织(图1)。 中远段胰管扩张,病变与部分肠系膜上静脉分界不清,肠系膜上静脉与门静脉汇合处略受压变窄(图2),肝门区及胰周可见多发淋巴结。PET-CT显示胰头区病灶代谢轻度增高。Whipple术后病理结果显示:胰腺内可见梭形肿瘤细胞浸润,局灶侵达胰腺周围脂肪组织,未及胆总管及十二指肠。小肠、胰腺及胆总管断端未见肿瘤细胞,胆囊未见特殊,淋巴结可见肿瘤累及(胰周1/6,小肠周0/1)。免疫组织化学结果显示:Vimention(+),CD34(血管+),CD68(散在+),AE1/AE3、Bcl-2、CD21、CD35、CgA、S-100、SMA、Syn、CD117和HMB45均阴性,Ki-67指数约15%。 病理结合免疫组织化学结果确诊为硬化性纤维肉瘤。

马甲 2 0

上海医师在线信息技术有限公司 版权所有 ©   沪ICP备12005625号-1