57岁糖尿病患者,腹痛、发热。
特点:1.罕见,慢性炎症性病变,几乎总是与长期梗阻相关
最常伴变形杆菌或大肠杆菌感染
2.造成肾弥漫性(80-90%)破坏,或有时为局灶性(10-20%)破坏
3.几乎为单侧性,累及双侧肾脏概率相等
4.女性更常见,比男性多4倍,常见于45-65岁
5.特征性镜下特点为充满脂质的泡沫状巨噬细胞(黄瘤细胞)
6.具有肿瘤样行为,可延伸并侵犯和/或破坏邻近器官。
【影像学表现】
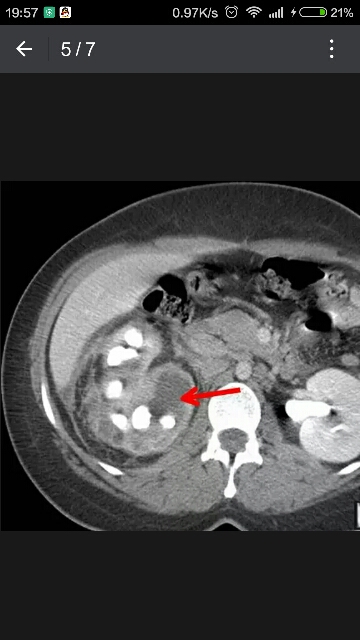
1.超声
(1)肾形态正常,体积增大
(2)皮髓质分界消失
(3)多发低回声脓肿、肉芽肿或扩张的肾盏
(4)肾皮质组织丢失
(5)钙化不常伴声影
2.CT为可供选择的检查方法
(1)不均匀、无强化肿块
(2)肾积水
(3)正常肾实质破坏
(4)80%病例可见鹿角形结石
可为小钙化
(5)肾外侵犯
【鉴别诊断】
1.影像及临床不能与肾细胞癌鉴别
2.慢性肾盂肾炎
【治疗】
手术切除
肾切除或有时部分肾切除
【并发症】
XDPN因瘘管形成而臭名昭著
肾盂皮肤瘘及输尿管皮肤瘘已见病例报道。