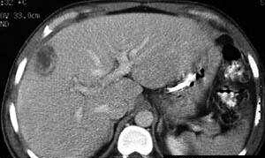
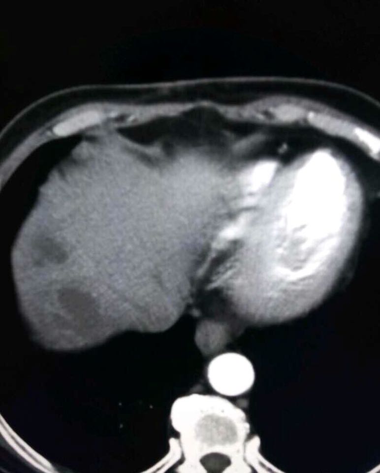
患者以高热,寒战入院,无其他明显症状,行肺CT扫描提示肝脏低密度灶随行腹部增强,发现肝脓肿脓腔形成伴多发间隔,多发子灶,怎么处理?
病例点评: 阿米巴肝脓肿系阿米巴原虫穿过肠壁,经门静脉至肝,在肝内门静脉末梢支拴塞、缺血,同时产生溶组织酶导致细胞坏死而形成的肝脓肿。脓腔较大,多单发,右叶较多。本病多发生在热带或亚热带,在我国不如化脓性肝脓肿多见。CT扫描表现为类圆形低密度区。脓腔内密度不均匀,与坏死程度有关。边缘比较清楚,周围的肉芽组织有增强效应。增强后可为等密度以致病灶缩小。
上海医师在线信息技术有限公司 版权所有 © 沪ICP备12005625号-1