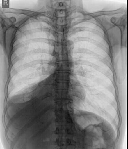
患者男,60岁,胸部不适1月余,吐浓黄色痰,无明显其他症状。胸部平片示:右下肺心脊柱旁心后区片状密度增高影,尖端指向肺门,右膈抬高,右肋膈角变钝,考虑:右肺下叶不张(原因?),右膈膨升,右侧胸膜炎,建议进一步CT检查。请大家谈谈每一叶肺不张的胸片表现。
上海医师在线信息技术有限公司 版权所有 © 沪ICP备12005625号-1