老年男性,患者因胸闷气喘右侧肢体活动收入院,入院后查体双肺湿性啰音,右侧病理征阳性,颅脑CT显示腔隙性脑梗死,患者有下肢静脉血栓形成病史,今晨患者突发呼吸急促,血氧下降,请呼吸心内院内会诊,请手术室插管,血氧持续下降,给予呼吸机维持,最终患者呼吸停止,请问各位这是肺栓塞还是其他的病?
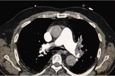
64岁女性,突发胸痛、呼吸困难3小时。既往房颤病史多年,未抗凝治疗。胸部CT扫描如图。什么诊断?下一步如何治疗?
上海医师在线信息技术有限公司 版权所有 © 沪ICP备12005625号-1