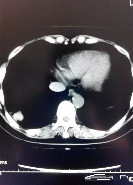
女,64岁,09年因咳嗽CT发现两肺结节,当时考虑转移瘤,但患者无肿瘤病史,拒绝进一步检查。于3个月、半年、二年复查,无明显变化。今天再次复查,如下图,无明显变化。
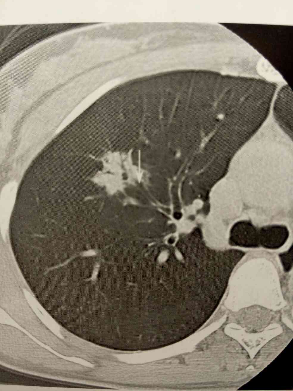
肺癌支气管中断。右肺上叶肺癌可见细支气管在进去结节前中断,箭头所指。
上海医师在线信息技术有限公司 版权所有 © 沪ICP备12005625号-1