肺结节
病例图片

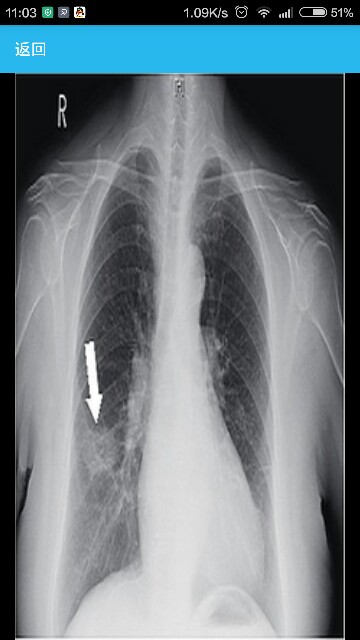
患者女性,70岁,因“间断发热4天,发现右肺占位1天”入院。 病史患者4天前受凉后出现发热,最高39.5℃,1天前出现咳嗽,咯少量棕色血痰,入院前1天查胸片示“右下肺占位”,收入院。既往心房颤动病史6年余。其父患肺癌去世。 临床表现体温39.8℃,脉搏100 次/分,呼吸频率22 次/分,血压125/80 mmHg。急性病容,右肺背部肩胛下角以下可闻细湿音。心界左大,房颤律。腹部查体未见异常。 辅助检查血常规:白细胞计数为12×109/L,中性粒细胞占86.6%,血红蛋白129 g/L,血小板240×109/L。尿便常规、肝肾功能及电解质正常。C反应蛋白(CRP) 98.0 mg/L。动态红细胞沉降率(ESR)71 mm。肺部肿瘤常规、降钙素原阴性、自身抗体阴性。超声心动示双房扩大。24小时动态心电图示心房颤动支气管镜检查,镜下正常,未见新生物。痰培养、痰涂片和病原体检测,痰细菌真菌培养、找抗酸杆菌阴性。支原体、衣原体、军团菌抗体阴性。痰涂片:革兰染色法白细胞计数>25/低倍视野、上皮细胞计数<10/低倍视野;革兰阳性球菌成对、中等量。基因芯片病原体检测:肺炎链球菌感染可能性为95%。影像检查,胸片:右下肺占位(图1);胸部CT:右下肺球形肺炎(图2)。 右下叶球形肺炎(肺炎链球菌感染可能性大),心房颤动。 治疗给予莫西沙星抗感染,体温降至正常,病变吸收消散出院(图)。

马甲 7 0

上海医师在线信息技术有限公司 版权所有 ©   沪ICP备12005625号-1