高热,咳嗽5天,输液治疗3天,效果欠佳入院。X线未见明显异常,双肺未闻及异常,血常规白细胞总数及中性均增高。给头孢哌酮舒巴坦及奥硝唑治疗2天,效果欠佳,听诊右肺呼吸音低,CT示右肺中叶直径5cm阴影。急转滨州人民医院,应用无水头孢唑啉后体温未再升高
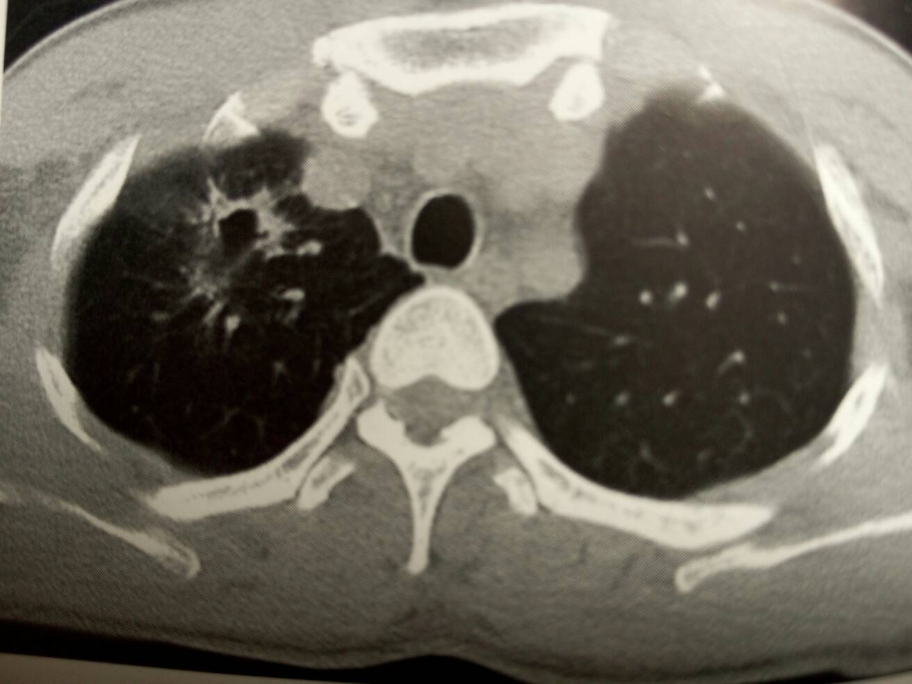
男,40岁。反复咳嗽咳痰半年。CT:右肺尖脓肿。抗炎后4周病灶明显缩小。
上海医师在线信息技术有限公司 版权所有 © 沪ICP备12005625号-1