肺腺癌
病例图片

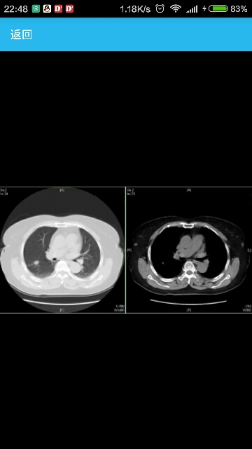
患者女性,62岁,主因“查体发现肺部占位1周”入院。 病史患者于1周前行常规健康检查时胸部CT提示右肺上叶占位,患者无咳嗽咳痰,无发热,无咳血,无胸闷胸痛,无周身乏力。为行进一步诊治就诊我科。既往高血压病3年,现口服药物治疗,血压水平140/90mmHg。吸烟30年,0.5包/日。 临床表现一般情况可,胸廓无畸形,无杵状指。胸壁静脉无曲张,胸骨无压痛。肺部呼吸运动度对称,无胸膜摩擦感,无皮下捻发感,左肺叩诊清音,肺底移动度正常。呼吸规整,左肺上部呼吸音较粗,未闻及干湿啰音右肺呼吸音清,右肺未闻及干湿啰音。双侧锁骨上未扪及肿大淋巴结。 辅助检查实验室检查:血常规:白细胞(WBC):12.69×109/L↑,血红蛋白(HGB):106.00g/L↓,血小板(PLT) 202.00×109/L;生化:谷丙转氨酶(ALT) 14.6U/L,谷草转氨酶(AST) 15.2U/L,碱性磷酸酶(ALP) 84.5U/L,总胆红素(TBIL) 12.70umol/L,直接胆红素(DBIL) 4.12umol/L,肌酐(血)(Cre) 41.5umol/L↓;肿瘤标记物:鳞状细胞癌抗原(SCCAg) 0.6ng/mL,癌胚胎抗原(CEA) 2.88ng/mL,细胞角质蛋白19片段(CYFRA21-1) 0.74,癌抗原CA-125(CA-125) 7.5U/mL,神经元特异性烯醇化酶(NSE) 13.76ug/L; 影像学检查:胸片正侧位:双肺纹理清晰,右肺中野见类圆形致密影,边界欠清,边缘多发毛刺,大小约1.3cm×1.5cm。气管居中,右肺门影略致密。纵隔不宽,心影形态大小未见异常,双膈面光滑,肋膈角锐利。胸部CT(平扫+增强):肺窗:两肺容积正常,肺纹理略增多,右肺上叶后段见类圆形结节影,大小约14x10x10mm,边缘见毛刺,临近胸膜受牵拉。纵隔窗:右侧肺门见多发淋巴结,最大者大小约14x11mm。 诊断肺癌、高血压病;依据:老年女性,吸烟15包/年, 胸片和胸部CT提示明显肺癌征象。 治疗患者分期为T2aN0M0,IB期。此期患者进行术后辅助化疗的证据尚不充分,根据第七版NCCN治疗指南,IB期患者如具备肺癌复发的高危因素(低分化、脉管内癌栓、腺癌患者CEA升高、亚肺叶切除或淋巴结清扫不彻底),应进行术后的辅助化疗。此患者不具备任何一项高危因素,可不行术后化疗。

马甲 86 0

上海医师在线信息技术有限公司 版权所有 ©   沪ICP备12005625号-1