掌上医讯
客户端下载
医会通
病例
视频
医企通
注册
登录
已注册用户直接登录
一月免登录
忘记密码 ?
胆管癌
( carcinoma of bile duct )
别名:
胆管癌;cholangiocarcinoma;胆管细胞癌
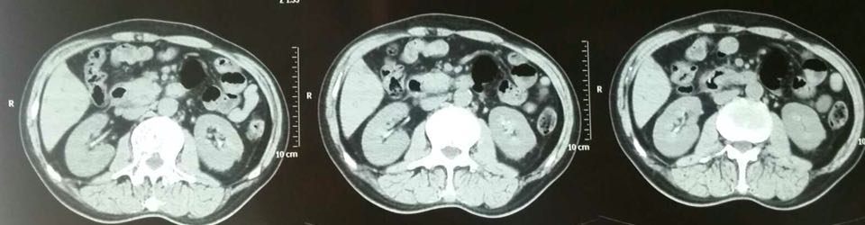
男,50岁,主因发现皮肤黄染两月入院,片子看下面,各位考虑什么?
胆管癌
会说话的鹰
45
0
加载更多
名词解释
医学资讯
医学指南
医学视频
医学病例
相关关键词
关于我们
|
人才招聘
|
云媒体平台
|
医学新闻
|
申请会议收录
|
联系电话:400-1199-330
上海医师在线信息技术有限公司 版权所有 ©
沪ICP备12005625号-1