老年男性,主诉,活动后胸片气喘伴左侧肢体无力一天入院。既往史,有心律不齐房颤心衰,病史多年,平时口服螺内酯,依那普利。等药物治疗。入院查体,期为36.8摄氏度,89次,每分钟双肺呼吸音清,心率89分钟,心律不齐,脉搏短绌,第一心音强弱不等,双下肢轻度浮肿,并伴左侧肢体无力,作头颅ct示脑栓塞。住院后给于抗炎抗凝活血化瘀营养脑细胞治疗治疗几年后症状缓解,请问大家,房颤引起的脑栓塞,氯吡格雷,可以预防脑栓塞吗?
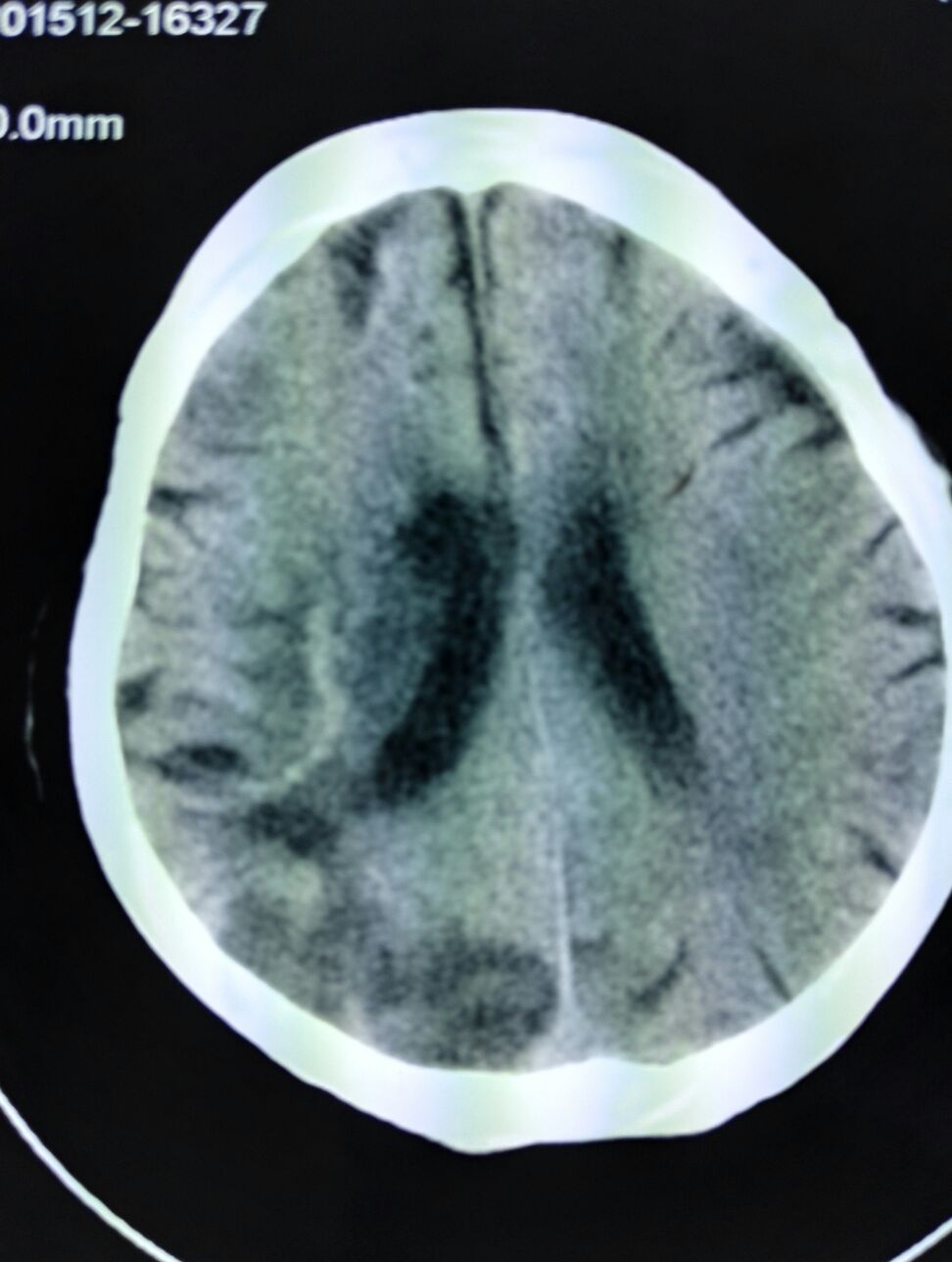
患者老年女性,主因,左侧肢体偏瘫8小时收入,既往房颤史,查体,血压180/90mmhg神情,言语不清,饮水呛咳,双侧瞳孔等大同圆对光反射灵敏,双肺呼吸音粗,心率82次/分律不齐,心音强弱不等,各瓣膜区未闻及病理性杂音,腹部无异常,左侧肢体肌力0级,肌张力不高,右侧肢体肌力正常,左巴氏征阳性
上海医师在线信息技术有限公司 版权所有 © 沪ICP备12005625号-1