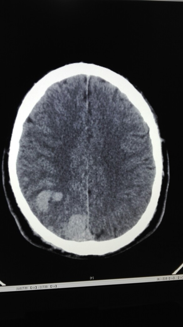
患者男,34岁,偶尔头部疼痛就诊。行头部CT扫描示:右枕叶区团片样密度增高影,其内见扭曲条状影及点状钙化灶,当班医生考虑右枕叶脑肿瘤可能性大。我觉得不像是脑肿瘤,理由是:1.病灶占位效应不明显;2.未见水肿带;3.邻近颅骨未见改变。个人意见考虑是血管畸形(静脉血管瘤?),建议增强检查或DSA。因病灶紧贴大脑镰,所以还需与脑膜瘤鉴别。
简要病史:患者男性,34岁,偶尔头部疼痛就诊。 行头部CT扫描示:右枕叶区团片样密度增高影,其内见扭曲条状影及点状钙化灶,当班医生考虑右枕叶脑肿瘤可能性大。我觉得不像是脑肿瘤,理由是:1.病灶占位效应不明显;2.未见水肿带;3.邻近颅骨未见改变。个人意见考虑是血管畸形(静脉血管瘤?),建议增强检查或DSA。因病灶紧贴大脑镰,所以还需与脑膜瘤鉴别。
上海医师在线信息技术有限公司 版权所有 © 沪ICP备12005625号-1