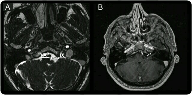
者男性,65岁,主因舌根部和左侧扁桃体窝阵发性刺痛2个月就诊,吞咽和打呵欠可加重疼痛。患者一般体格检查和神经系统体格检查均无异常。诊断为舌咽神经痛,给予奥卡西平300mg,一日3次,对症使用来缓解疼痛。 颈部MRI示左侧舌咽神经靠近椎动脉,且舌咽神经可见异常强化(如下图所示)。 异常的舌咽神经强化提示其出现炎症性改变,可能继发于动脉对神经的刺激所致。
上海医师在线信息技术有限公司 版权所有 © 沪ICP备12005625号-1