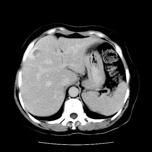
继续接上个病例经手术病理证实的肝海绵状血管瘤,CT平扫加增强共5期,表现相当典型。女性, 52;上腹疼痛半年.彩超示:肝内强回声团,考虑血管瘤.
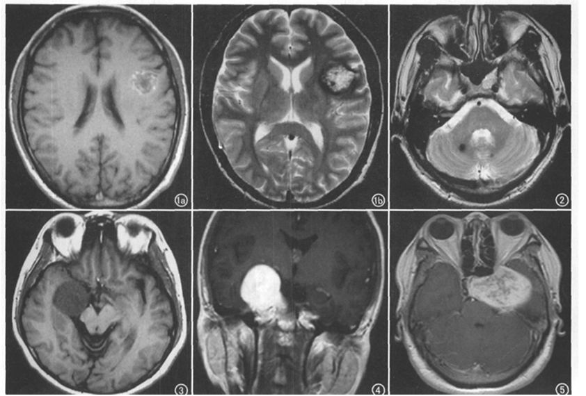
典型海绵状血管瘤两例,分别是额叶和海绵窦的
上海医师在线信息技术有限公司 版权所有 © 沪ICP备12005625号-1