男性,52岁。
主诉:涕血、头痛1月余。
现病史:患者于1个多月前无明显诱因出现涕血,间歇性,量少,多为鲜红色血丝,伴有左侧额颞部阵发性隐痛,无伴头晕视朦、鼻塞、耳聋及面麻咽痛。
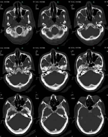
CT所见:鼻咽右侧顶壁、右侧咽隐窝软组织稍增厚,鼻咽左侧未见异常,双侧鼻咽旁间隙、颈动脉间隙未见异常。右侧上颌窦为软组织影充填,左侧上颌窦、筛窦、蝶窦未见异常。双侧乳突见软组织影,海绵窦未见异常。双眼未见异常。颅底未见骨质破坏。
鼻咽镜检查:右咽隐窝见一肿物,粘膜表面欠光滑,稍充血。
主要讨论以下几个病鉴别:
1.鼻咽癌2.腺样体增殖3.咽部纤维血管瘤4.鼻咽坏死性肉芽肿。