透析
病例图片

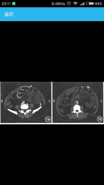
女性,因“维持性腹膜透析7年余,腹痛、腹胀5d”就诊 体温36.5℃,脉搏105次/min,呼吸20次/min,血压165/94 mmHg(1mm Hg=0.133 kPa),慢性病容,贫血貌,表情痛苦。双肺呼吸音清,未闻及于湿罗音。心界向左下扩大,未闻及瓣膜区杂音。腹部膨隆,叩诊呈鼓音,右侧腹部可见腹膜透析管引出,出口处周围皮肤不红,未见分泌物,全腹软,压痛及反跳痛明显,未触及包块,肠鸣音亢进,10次/min,双下肢轻度水肿。 病史患者1994年诊断为“慢性肾功能不全(尿毒症期)”,并开始规律腹膜透析治疗(2.5%腹膜透析液2L,3次/d。1.5%腹膜透析液2L,1次/d),每天超滤量约1000ml。 入院前1个月出现腹痛、腹胀、腹膜透析液浑浊,诊断“腹膜透析相关性腹膜炎”,抗感染治疗后症状缓解,入院前5天出现恶心呕吐、腹胀,至入院时未解大便。 临床表现 辅助检查Hb 109g/L,白细胞9.67×109/L,中性粒细胞比例0.843,白蛋白23.4 g/L,肌酐492 μmol/L,钙1.97 mmol/L,磷1.25 mmo/L,甲状旁腺素136.9 pmol/L,腹膜透析液培养出G+菌和近平滑念珠菌。 腹部B超:腹腔积气、积液。双肾缩小伴多发囊肿。 腹部CT:腹膜、大网膜、肠系膜及腹盆腔内肠管壁广泛增厚肿胀,伴广泛钙化,肠管僵硬,管腔积液、积气,多发小气液平。网膜囊及腹腔内少量积液,部分局限,盆腔间置管影。双肾萎缩伴多发囊性低密度灶,多系囊肿;双侧肾盂肾盏多发结石。双侧桥隔及肾筋膜增厚。 颈部CT:双侧甲状旁腺增大,右侧可见钙化点。双侧颈内动脉壁、颈总动脉起始部及分又部、主动脉弓壁钙化。 诊断包裹性腹膜硬化 治疗给予禁食、胃肠减压、肠道外营养、茴香热敷腹部、抗真菌及细菌等治疗,并行腹膜透析置管拔除术,血液透析。治疗5d后,患者症状缓解,开始进食,大便恢复。

马甲 10 0

上海医师在线信息技术有限公司 版权所有 ©   沪ICP备12005625号-1