患者,女,48岁。因间断咳嗽、咳痰1 年余,痰中带血9 个月,加重1 个月入院。
临床表现右肺下部呼吸音减弱,未闻及干湿性啰音。
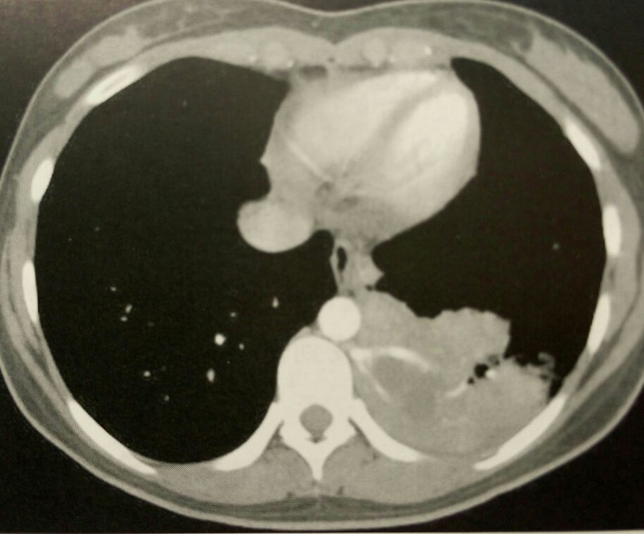
辅助检查胸部CT显示:右肺下叶近脊柱旁占位,考虑肺隔离症,合并感染可能。
诊断入院诊断:右肺下叶占位,肺结核,支气管扩张症,肺隔离症。入院后行肺部常规肿瘤标记物检查阴性,肺功能正常。
治疗在全身麻醉下行支气管镜检查,备行右侧电视胸腔镜探查,右肺下叶切除术。术中患者支气管镜检查未见异常,电视胸腔镜下见右下肺与侧后胸壁以及后肋膈角膈肌之间明显粘连,呈胼胝状,分离胸腔粘连后探查见右肺下叶后基底段局部肺组织略显厚韧,内可触及条索样结节,质韧。后摘除隆突下淋巴结,行肺下叶后基底段大楔形切除。体外于其相对厚韧的部位剖开,见局部小支气管腔内有条状异物,长约2.5 cm ,直径约0.3 ~0.4 cm ,局部肺组织增厚变韧。术后证实异物为桧柏嫩枝。术后病理检查:送检的部分肺组织细支气管扩张,周围有较多淋巴细胞及浆细胞浸润。局灶可见异物成分,伴有异物肉芽肿性炎症表现,淋巴结未见肿瘤成分(0/3)。术后10 d 痊愈出院。术后随访6 个月,未见咳嗽及咳血,患者恢复良好。