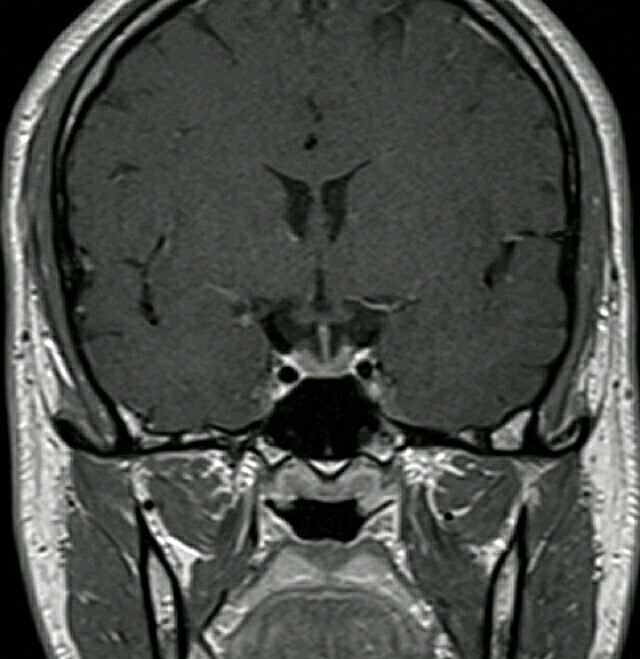
患者男性,28 岁,先天性嗅觉丧失,青春期延迟和不育。 图. 头颅 MRI:冠状位 T2WI(A、B)及 T1WI 对比增强(C) 图中示患者蛛网膜下池内、筛板上未见嗅球(图 A 箭头所示),同样未见嗅沟(图 B 箭头所示)。T1WI 对比增强可见脑垂体下前部,垂体柄未见异常。 诊断?
上海医师在线信息技术有限公司 版权所有 © 沪ICP备12005625号-1