骨瘤 ( osteoma )
病例图片

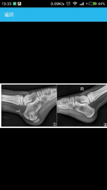
男 9岁,发现左跟骨肿物半年余,行走后疼痛不适,诊断为左跟骨骨软骨瘤,建议手术治疗。 病史1年前有轻微外伤史,未做特殊处理,半年前左跟骨底出现一硬物,行走后疼痛加重,无夜间痛。 左跟骨未见明显红肿,皮温不高,可触及骨性突起,呈卵圆形,质硬,边界清晰,推之不移,有压痛,足踝关节活动功能未见明显异常,神经感觉功能活动正常。 图1 左跟骨侧位可见跟骨底骨骺下方帽状骨性组织图2右足跟骨侧位为正常骨组织图3 左跟骨CT 三维重建示:右跟骨底骨骺下方凸起帽状组织。 CT三维重建示:左足跟部可见一扁平帽状骨化,约1.0cm×2.6cm大小,左跟骨结节骨骺核较对侧扁平,密度不均,部分骺线变窄甚至消失,左足跟骨后部可见片状骨质硬化,边缘模糊(图3)。MRI示左侧跟骨后份见不规则长T1短T2信号,跟骨结节骨骺扁平似碎裂,信号欠均匀,骺线信号尚可,其右下方见一不规则长T1短T2信号,SPAIR像为略高信号,大小为2.8cm×1.3cm,边界清晰,跟腱形态、信号未见明显异常。 诊断:左跟骨骨软骨瘤 治疗:手术在硬膜外加局部麻醉下行左跟骨骨软骨瘤切除术,取左跟骨内侧长约7cm切口,分离各组织,然后显露跟骨底部骨性突起部分,大小约为4cm×2cm×1cm,通过C型臂透视机透视下克氏针定位肿物边界,然后将肿物全部切除,肿物未见头帽状凸起,呈松质骨样。病理诊断为左跟骨骨软骨瘤。患肢功能感觉及血运未见明显异常。

马甲 2 0

上海医师在线信息技术有限公司 版权所有 ©   沪ICP备12005625号-1