胫腓骨X线解剖(图文)

来源:影像园作者:admin时间:2009-05-04 阅读:66410评论:0赞:0 有0人参与
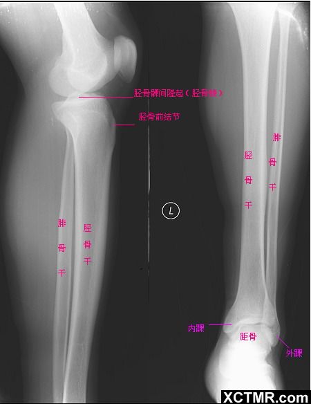
图1  胫腓骨X线正侧位X线像
    小腿骨的X线解剖  常规摄前后位及侧位X线片。正位片上胫、腓骨并行,长度相同,上、下端部分重叠,于骨干部分开。胫骨内外侧髁下方能见到致密骺线,正常胫骨粗隆是内、外侧髁在前面下部相连形成的骨性隆起,以侧位X线片观察最清楚。胫骨干中部较细,骨密质厚,前缘达l0mm,后缘约5mm。胫骨下端膨大,内侧下端可见内踝。腓骨于侧位片上清楚显示较胫骨偏后,下端膨大形成外踝,位置较内踝低。


小提示:87%用户已下载掌上医讯App,更方便阅读和交流,请扫描二维码直接下载App

(本网站所有内容,凡注明来源为“掌上医讯”,版权均归掌上医讯所有,欢迎转载,转载请注明出处,否则将追究法律责任。凡是本网站注明来源为其他媒体的内容为转载,版权归原作者所有,转载仅作分享,文章观点不作为掌上医讯观点,如有侵权,请及时联系我们,联系电话:0532-67773733)

共有0人参与讨论