导读
肝脏良性肿瘤是一类包括各种不同细胞起源的多样化病变。这些病变通常在影像学检查中被偶然发现。常见的肝脏良性肿瘤一个是肝血管瘤(hepatic hemangioma,HH),另一个是局灶性结节性增生(focal nodular hyperplasia,FNH)。本文主要总结了HH和FNH的诊治方法,以期帮助临床医生了解该病。
HH是肝脏内大量动静脉血管畸形构成的团状结构,与先天性发育异常、雌激素异常、毛细血管感染等因素有关,是常见的肝脏良性肿瘤之一。
临床表现:HH通常无症状,其临床表现与肿瘤大小、部位有关。当肿瘤直径>5 cm时,患者可能出现非特异性症状,通常表现为腹痛、右上腹不适和胀满。肿瘤可压迫邻近结构引起恶心、早饱、餐后腹胀等其他症状。较少见的相关症状包括发热、黄疸、呼吸困难、高输出量性心力衰竭和胆道出血。
此外,巨大HH可压迫肝静脉和(或)下腔静脉导致布加综合征。HH还可能导致危及生命的凝血障碍,即Kasabach-Merrit综合征(血小板减少、弥漫性血管内凝血和全身性出血)。HH的另一种严重并发症是自发性或创伤性破裂出血,但发生风险极低。
诊断:HH的诊断目前主要依赖于影像学检查,多种检查手段联合应用可提高诊断准确率。常规首选超声检查,再结合CT、MRI以及数字减影血管造影检查等综合判断。

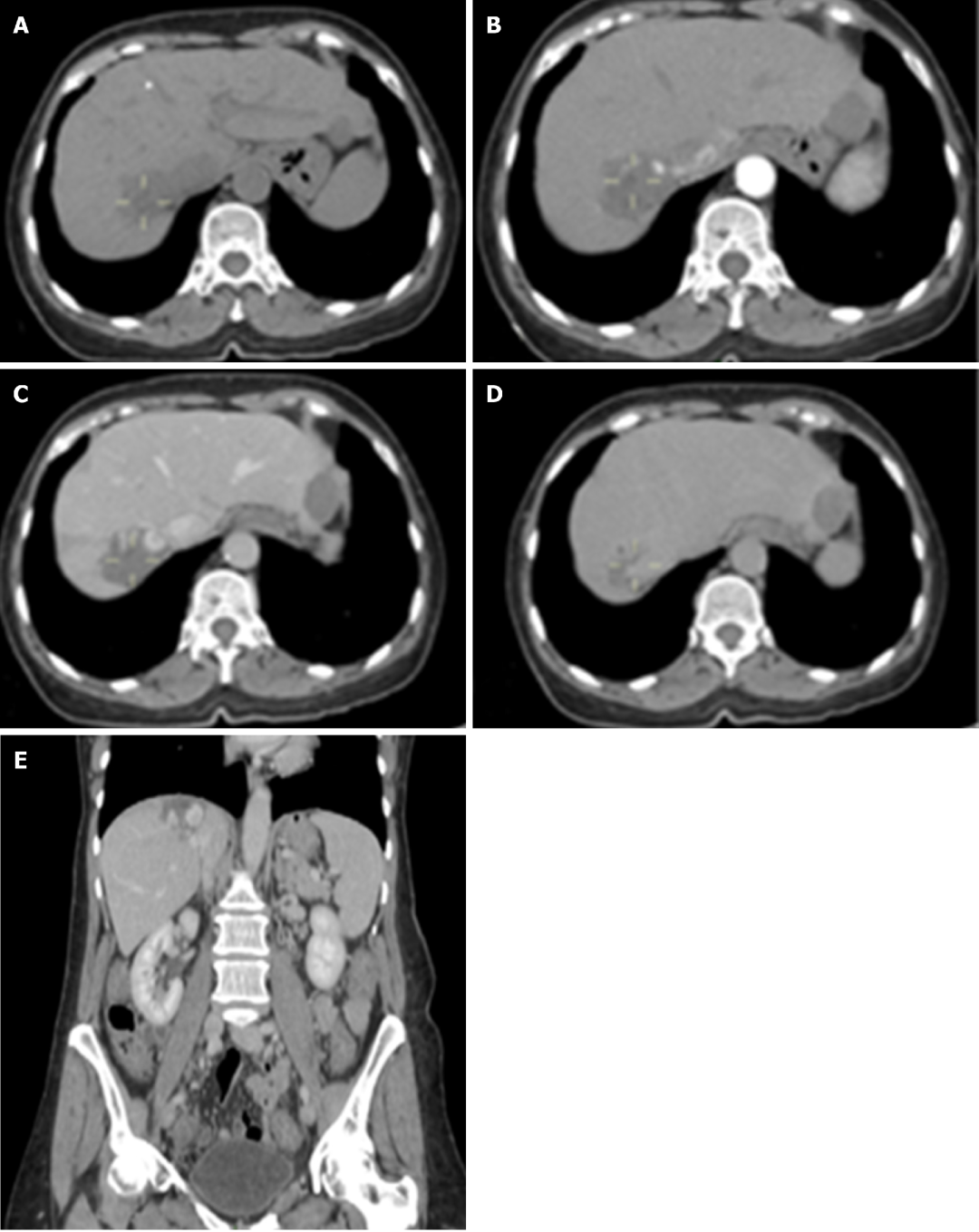
图1 肝脏超声(A)和腹部CT(B)

图2 CT检查

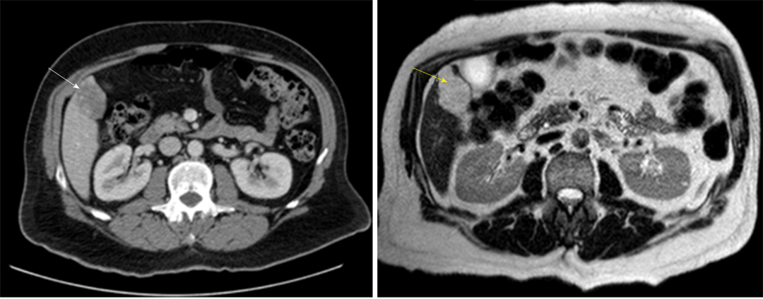
图3 腹部CT造影(白色箭头)和MRI T2加权扫描(黄色箭头)
分型:根据肿瘤数目和直径,HH可分为3型:Ⅰ型:肿瘤数目1个,肿瘤直径<5 cm(Ⅰa型),肿瘤直径为5-10 cm(Ⅰb型),肿瘤直径>10 cm(Ⅰc型);Ⅱ型:肿瘤数目2-5个,肿瘤直径或直径之和<10 cm(Ⅱa型),肿瘤直径或直径之和为10-20 cm(Ⅱb型),肿瘤直径或直径之和>20 cm(Ⅱc型);Ⅲ型:肿瘤数目>5个,弥漫,肿瘤体积≤50%肝体积(Ⅲa型),肿瘤体积>50%肝体积(Ⅲb型)。
治疗:对于HH,原则上以随访观察为主,当血管瘤较大且合并以下危险因素时,建议酌情治疗:伴发症状或者出现严重并发症的HH;进行性增大的HH;诊断不明确的HH;HH导致严重焦虑等精神症状;须预防性治疗的HH。
HH的治疗方法包括手术切除(Ⅰ、Ⅱ型HH患者原则上均可行手术治疗)、局部消融术、肝动脉介入栓塞术和肝移植术(适用于Ⅲ型HH伴上述各种危险因素或巨大HH伴严重肝功能损害的患者)。
FNH是肝脏细胞良性增殖形成的结节,其发病率在良性肝脏肿瘤中仅次于HH。FNH多为单发,病灶生长缓慢,多发的FNH常合并其他肝脏良性疾病,如HH。
临床表现:FNH一般无临床症状,患者多为体检偶然发现或因其他疾病经影像学检查发现,少数患者因病灶巨大而表现右上腹疼痛及或压迫邻近器官所产生的症状。
诊断:FNH的诊断主要依靠影像学和分子病理学检查。常用的检查方法有超声、CT、MRI和血管造影等。联合应用可提高其确诊率。

图4 免疫组化

图5 MRI图像

图6 造影剂增强图像
治疗:对于诊断明确且无临床症状的病例,建议保守治疗,定期随访。手术的适应证是患者有持续或明显的症状、病灶增大而诊断不明确、出现影像学性质改变或提示有恶性可能者。对于有手术指征,但不适宜接受手术的患者,经导管动脉栓塞术是安全有效的替代治疗方法。

参考文献:
1. 黄成, 孙惠川. 2016年欧洲肝病学会临床实践指南:肝脏良性肿瘤的管理[J]. 临床肝胆病杂志, 2016,32(08):1439-1445.
2. 张津玮, 秦建民. 肝血管瘤治疗指征与处理策略[J]. 肝胆外科杂志, 2020,28(04):317-320.
3. Leon M, Chavez L, Surani S. Hepatic hemangioma: What internists need to know[J]. World J Gastroenterol. 2020 Jan 7;26(1):11-20. doi: 10.3748/wjg.v26.i1.11.
4. 国际肝胆胰协会中国分会肝血管瘤专业委员会. 肝血管瘤诊断和治疗多学科专家共识(2019版)[J]. 中国实用外科杂志, 2019,39(08):761-765.DOI:10.19538/j.cjps.issn1005-2208.2019.08.01.
5. 孙健, 王捷. 肝脏局灶性结节性增生诊断及规范化治疗[J]. 中国实用外科杂志, 2013,33(09):742-745.
本平台旨在为医疗卫生专业人士传递更多医学信息。本平台发布的内容,不能以任何方式取代专业的医疗指导,也不应被视为诊疗建议。如该等信息被用于了解医学信息以外的目的,本平台不承担相关责任。本平台对发布的内容,并不代表同意其描述和观点。若涉及版权问题,烦请权利人与我们联系,我们将尽快处理。
小提示:87%用户已下载掌上医讯App,更方便阅读和交流,请扫描二维码直接下载App
(本网站所有内容,凡注明来源为“掌上医讯”,版权均归掌上医讯所有,欢迎转载,转载请注明出处,否则将追究法律责任。凡是本网站注明来源为其他媒体的内容为转载,版权归原作者所有,转载仅作分享,文章观点不作为掌上医讯观点,如有侵权,请及时联系我们,联系电话:0532-67773733)