本文刊登在《现代泌尿外科杂志》2023年3期临床研究栏目,点击文末的“阅读原文”按钮,直达本刊官网,下载本文PDF。
引用此文:唐世英,田雨,洪鹏,等.巨大多房性前列腺囊腺瘤1例报告并文献复习[J].现代泌尿外科杂志,2023,28(3):232-237.
巨大多房性前列腺囊腺瘤1例报告并文献复习
唐世英1,田雨1,洪鹏1,陆敏2,肖春雷1,卢剑1,马潞林1
(1. 北京大学第三医院泌尿外科;2. 北京大学第三医院病理科)
目的
探讨巨大多房性前列腺囊腺瘤的临床特征和治疗策略。
方法
回顾性分析2021年7月北京大学第三医院泌尿外科收治的1例巨大多房性前列腺囊腺瘤患者的临床资料,年龄73岁,以尿急、尿频为临床表现,前列腺特异性抗原轻度升高,磁共振成像(MRI)提示巨大前列腺囊实性占位。检索2000—2021年国内外前列腺囊腺瘤病例报道进行文献复习。
结果
该患者行经腹腹腔镜前列腺根治性切除术,手术顺利。术后病理诊断为多房性前列腺囊腺瘤,术后2周拔除尿管后排尿通畅,无尿频、尿失禁等不适。术后随访8个月余,未见肿瘤复发及转移。
结论
巨大多房性前列腺囊腺瘤肿瘤学特性及诊疗方案还存在一定争议,缺乏长期随访结果。腹腔镜前列腺盆腔巨大占位切除术安全可行,大部分患者经过手术治疗后预后良好。临床需要结合不同患者情况制定手术为主的个体化标准治疗方案,积极改善患者预后。
关键词:多房性前列腺囊腺瘤;巨大瘤;下尿路症状;临床特征;治疗

巨大多房性前列腺囊腺瘤(giant multilocular prostatic cystadenoma, GMPC)是一种相对罕见的前列腺组织来源的良性肿瘤[1]。自1990年首次报道以来,国内外文献报道不到40例。其通常表现为巨大的盆腔肿块,压迫邻近器官,经常引起梗阻性排尿症状,但没有明显的侵袭性特征。影像学显示这些巨大的盆腔肿块来源于前列腺,其内部具有囊实性特征。我院收治1例GMPC,并成功完成腹腔镜巨大前列腺盆腔肿物切除术,现报告如下。

患者男性,73岁。3年前无明显诱因出现尿急、尿频。2年前于当地医院行彩超发现前列腺移行区来源囊实性占位(6.8 cm×7.2 cm×6.7 cm);增强核磁提示前列腺增生,外周带消失,周围分房状积液伴壁厚。总前列腺特异性抗原(totalprostate specific antigen, tPSA)3.09 ng/mL,游离前列腺特异性抗原(free prostate specific antigen, fPSA)/tPSA比值 0.22。近半年来出现晨起排尿困难、费力,尿频加重。既往:高血压30年,左肾癌肾部分切除术后9年。查体:双肾、输尿管走行区平坦,未见隆起,无压痛,无叩击痛。耻骨上膀胱区无隆起,无压痛。直肠指诊可触及前列腺肿物,质中、不能推动、中央沟消失、表面尚光滑,未触及结节,直肠间隙存在,退出指套无染血。
入院后完善生化检查:血红蛋白157 g/L,tPSA 5.622 ng/mL,fPSA/tPSA比值0.44。经腹泌尿系B超示:膀胱后下方可见一囊实性包块,囊壁可见多发壁结节,前列腺来源占位?前列腺位置发育异常?盆腔磁共振成像(magnetic resonance imaging, MRI):前列腺结构不清,局部见巨大囊实性病变,大小约10.3 cm×7.3 cm×10.0 cm, 内见T1高信号。前列腺囊实性病变伴出血,性质待定(图1A、B)。膀胱镜下观察:膀胱黏膜清晰,小梁增生明显,双侧输尿管口可见;膀胱颈受外压抬高,未见明显前列腺侧叶,精阜受推挤左移(图1C、D)。前列腺活检提示:(前列腺肿物)良性前列腺组织,部分为前列腺腺体,部分组织衬覆尿路上皮,未见肿瘤性病变。前列腺结节穿刺薄层液基细胞学检查(thinprep cytologic test, TCT)涂片仅见少量单个核细胞,未见确切肿瘤细胞及精子。

A: 前列腺多房囊腺瘤MRI平扫:前列腺结构不清,局部见巨大囊实性病变,大小约10.3 cm×7.3 cm×10.0 cm, 内见T1高信号;B:前列腺囊实性病变伴出血,性质待定;C:膀胱镜探查:膀胱镜下观察膀胱黏膜清晰,小梁增生明显,双侧输尿管口可见,膀胱颈受外压抬高,未见明显前列腺侧叶;D:精阜受推挤左移。
图1 巨大多房性前列腺囊腺瘤(GMPC)患者盆腔磁共振成像(MRI)及膀胱镜下观
术前1日常规行肠道准备。麻醉后,平卧位,常规消毒铺巾,台上留置F16 尿管。经腹腔途径常规建立气腹和操作通道(5个Trocar),拟完全后入路切除盆腔肿物。手术过程见图2。

A: 游离左侧输尿管及肿物左侧壁;B:游离右侧输尿管及肿物右侧壁;C:吻合尿道后方切口;D:术后病理大体标本。
图2 腹腔镜“后入路”法切除巨大多房性前列腺囊腺瘤(GMPC)过程
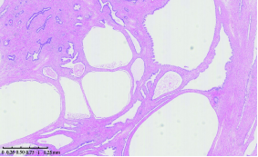
手术顺利,术中出血600 mL,未输血。术后第1天血红蛋白128 g/L,第4天拔除腹腔引流管后次日出院。病理回报(图3):前列腺肿物9.5 cm×8.0 cm×5.5 cm, 呈囊实性改变,囊性结构为扩张的前列腺腺泡,间质为增生的前列腺间质,伴玻璃样变性及灶状坏死,符合多房性囊腺瘤(图2D、图3)。术后2周拔除尿管后排尿通畅,无尿频、尿失禁等不适。术后随访8个月余,未见肿瘤复发及转移。
图3 巨大多房性前列腺囊腺瘤(GMPC)患者病理镜下观(HE,×20)
GMPC是一种十分罕见的前列腺良性肿瘤[1],以位于直肠和膀胱之间的巨大多房囊肿为特征。由于前列腺盆腔占位体积巨大,使得手术难度增加,对于临床医生仍是较大挑战。笔者检索自2000—2021年间国内外前列腺囊腺瘤病例报道(表1),到目前为止全世界报道的病例不超过40例,68%的病例肿瘤长径大于10 cm[2]。患者的发病年龄较为宽泛,从16岁到80岁不等[3-4],多见于35~65 岁[5]。多房性前列腺囊腺瘤目前病因尚不明确,临床症状无特异性,与一般前列腺癌临床症状相似,早期常无明显临床症状。一般随着肿瘤体积增大而逐渐出现排尿困难、尿频、尿急等梗阻性排尿症状,也可出现尿痛、血尿等情况,肿瘤还可压迫肠道出现便秘、排便习惯改变等消化系统症状[3]。既往文献表明,几乎所有的病例均有下尿路症状;较大的肿物也可通过腹部触诊触及,引起腹胀症状[2]。有些患者可能被误诊为巨大良性前列腺增生。
NA:无法获得(notavailable)。
既往文献报道,前列腺囊腺瘤患者血清中前列腺特异性抗原(prostate specific antigen, PSA)水平介于2.4~68.2 ng/mL[6],大约70%的前列腺囊腺瘤患者血清PSA水平升高,可能是由于扩大的囊肿中的一些前列腺组织破裂所引起,进而导致PSA释放到血液中,但也有PSA正常的病例报道[7]。在本研究中,前列腺巨大囊腺瘤患者tPSA 3.09 ng/mL和5.622 ng/mL,均小于10 ng/mL,符合既往文献报道。
经腹或经直肠前列腺超声对于前列腺盆腔巨大占位诊断敏感性高,可表现为局部侵犯或明显的前列腺肿物。B超一般很少会漏诊GMPC,但经腹B超由于肠腔内积气的干扰,很难确定腹膜后肿瘤的起源,而且前列腺盆腔巨大占位可能由于其特殊的病理类型导致其包块声像图表现不典型,容易与阑尾、乙状结肠的巨大占位相混淆[8]。本病例GMPC患者B超发现膀胱后下方巨大囊实性包块,未见正常前列腺组织,需考虑占位性病变来源于前列腺可能,同时此病例盆腔MRI明确提示前列腺囊实性病变。因此,超声要结合影像学联合检查来判断占位性病变的来源。
CT和MRI通常表现为由大小不等的囊肿组成的巨大多房性肿块,通常有一些薄的强化分隔和外壁[9]。此外,通过影像学还可以得到肿物的性质、精确定位、病变范围、局部浸润程度、血管分布和与邻近器官的关系,这些可能有助于进行鉴别诊断[3,10]。局部进展期前列腺癌可能侵犯周围组织,如精囊腺、膀胱颈、直肠等,但前列腺囊腺瘤一般不会侵犯邻近结构或显示任何恶性特征。在本病例前列腺囊腺瘤MRI中,病变边缘较为锐利,包膜清晰完整,与相邻结构存在界限,而不是侵入其中,有利于本诊断。甚至DAVID等[11]报告说,如影像学证据表明邻近结构受到侵犯,即可排除巨大的多房性前列腺囊腺瘤的可能性。尽管影像学研究可以提供关于病变范围和邻近器官侵犯的有效信息,但只有通过组织学手段才能做出最终明确的诊断。GMPC的病理特征是前列腺囊肿,内衬柱状和立方细胞,核位于基底部,细胞质和上皮细胞苍白,无细胞不典型增生、无核分裂像等恶性肿瘤迹象[3]。上皮细胞PSA染色可以揭示该病变的前列腺起源。
巨大前列腺囊腺瘤的外科治疗,目前尚无一致的方法。回顾既往文献,行单纯性开放完整肿物切除术有13例,腹腔镜肿物切除术3例,减瘤性切除术3例,包含肿物的前列腺切除术3例,膀胱前列腺根治性切除术3例,前列腺根治性切除术2例,机器人前列腺根治性切除术2例,直肠部分切除2例。大部分外科医生选用的治疗方法是完全切除肿瘤,尽可能保留周围结构,甚至包括残留的前列腺组织。一些肿瘤体积大,经常需要开腹手术,但存在盆腔操作空间狭小、视野暴露困难等情况。随着腹腔镜技术的发展和普及,亦有腹腔镜手术成功的报道,甚至通过机器人辅助途径进行手术[12]。尽管该肿瘤性质良性,但常常与周围结构粘连紧密,使得完整切除变得困难。与开放手术相比,腹腔镜手术能够一定程度上避免视野不佳的情况,但体积巨大的前列腺盆腔占位亦存在操作空间不足等情况,明显提高了手术难度,不过如果应用本病例所采用的腹腔镜“后入路”手术技术切除前列腺巨大肿物,在膀胱后方游离切除前列腺肿物,并向前列腺肿物两侧游离至盆筋膜,可以避免游离耻骨后间隙时上述情况的发生。此外,巨大前列腺囊腺瘤切除时容易损伤输尿管口,手术中需紧贴前列腺切开膀胱,要充分辨认双侧输尿管口结构,避免切割损伤及热损伤。膀胱-尿道吻合时需注意膀胱颈口与输尿管口距离,避免将输尿管口误缝合。
如果这些肿瘤被部分切除(如经尿道前列腺切除术或肿瘤部分切除术等),残余的肿瘤组织可以导致囊肿复发;即使肿瘤完全切除,患者短期复发率较低,但在长期随访中仍可能发生复发[12]。当然,并非所有GMPC患者都适合进行手术干预,亦有使用促性腺激素释放激素激动剂(醋酸亮丙瑞林)进行治疗的报道[13],这可能为更具侵袭性或复发性病例患者提供了新的治疗选择。SUSHENTSEV团队[14]也报告了1例应用黄体生成素释放激素激动剂联合外照射治疗中危前列腺癌合并前列腺囊腺瘤的患者。在最初的3个月雄激素剥夺治疗(androgen deprivation therapy, ADT)后,肿瘤体积减少了4倍,3年后显示完全消退。这些发现表明ADT在治疗原发性和复发性前列腺囊腺瘤方面均有效;此外,短期ADT疗程可作为术前减容步骤,旨在降低肿瘤体积和侵袭周围器官的程度。如果因前列腺囊腺瘤相关临床症状轻,和/或无法耐受手术治疗,则可考虑将ADT作为一种非侵入性替代治疗方案,以实现前列腺囊腺瘤的完全缓解。
参考文献:
[1] WATANABE J,KONISHI T,TAKEUCHI,et al.A case of giant prostatic cystadenoma[J].Hinyokika Kiyo Acta Urol J,1990,36(9):1077-1079.
[2] NAKAMURA Y,SHIDA D,SHIBAYAMA T,et al.Giant multilocular prostatic cystadenoma[J].World J Surg Oncol,2019,17:42.
[3] OLGUN D C,ONAL B,MIHAMANLI I,et al.Giant multilocular cystadenoma of the prostate:a rare cause of huge cystic pelvic mass[J].Korean J Urol,2012,53(3).
[4] 江懿.前列腺巨大恶性孤立性纤维瘤1例报告并文献复习[J].临床泌尿外科杂志,2015,30(5):444-447.
[5] 叶丹丹,祝新.前列腺囊腺瘤临床及影像学表现[J].临床放射学杂志,2019,38(2):355-360.
[6] 王志佳,张孟超,李丹,等.前列腺囊腺瘤1例报道[J].现代泌尿外科杂志,2014,19(9):566.
[7] BAAD M,ERICSON K,YASSAN L,et al.Giant multilocular cystadenoma of the prostate[J].Radiographics,2015,35(4):1051-1055.
[8] 刘荣玮,任苓,叶军.表现为盆腔巨大肿块的前列腺癌超声表现1例[J].中华超声影像学杂志,2018,27(10):913+918.
[9] TEIXERIA I P,PEREIRA P R,SILVA A,et al.Giant multilocular prostatic cystadenoma,a diagnosis to consider in large pelvic male masses[J].Radiol Case Rep,2019,14(12):1473-1477.
[10] OSMAN S,LEHNERT B E,ELOJEIMY S,et al.A comprehensive review of the retroperitoneal anatomy,neoplasms,and pattern of disease spread[J].Current Probl Diagn Radiol,2013,42(5):191-208.
[11] DAVID R,ALIREZA M,KARIM H,et al.Giant multilocular cystadenoma of the prostate[J].Am J Roentgenol,2002,179(6):1477-1479.
[12] DALY WC,MANDEVILLE JA,TRONIC B,MOINZADEH A.Robotic approach to giant multiloculated cystadenoma of the prostate:initial experience[J].Urol Case Rep,2021,38:101691.
[13] DATTA M W,HOSENPUD J,OSIPOV V,et al.Giant multilocular cystadenoma of the prostate responsive to GnRH antagonists[J].Urology,2003,61(1):225.
[14] SUSHENTSEV N,RIMMER Y,BARRETT T.Complete resolution of a giant multilocular prostatic cystadenoma following androgen deprivation therapy:an illustrative case report[J].Oxford Medical Case Reports,2021,7:259-262.
[15] CHOI Y H,NAMKUNG S,RYU B Y,et al.Giant multilocular prostatic cystadenoma[J].J Urol,2000,163(1):246-247.
[16] MATSUMOTO K,EGAWA S,IWABUCHI K,et al.Prostatic cystadenoma presenting as a large multilocular mass[J].Int J Urol,2010,9(7):410-412.
[17] ALLEN E A,BRINKER D A,COPPOLA D,et al.Multilocular prostatic cystadenoma with high-grade prostatic intraepithelial neoplasia[J].Urology,2003,61(3):644-644.
[18] HAUCK E W,BATTMANN A,SCHMELZ H U,et al.Giant multilocular cystadenoma of the prostate:a rare differential diagnosis of benign prostatic hyperplasia[J].Urol Int,2004,73(4):365-369.
[19] GANESAN S,GANESAN K,JOSHI M.Giant multilocular prostatic cystadenoma[J].J Ultras Med,2006,25(6).
[20] TUZIAKT,SPIESS PE,ABRAHAMS NA,et al.Multilocular cystadenoma and cystadenocarcinoma of the prostate[J].Urol Oncol,2007,25(1):19-25.
[21] PARK J P,CHO N H,OH Y T,et al.Giant multilocular prostatic cystadenoma presenting with obstructive aspermia[J].Yonsei Med J,2007,48(3):554-556.
[22] CHOWDHURY M M,ABDULKARIM J A.Multilocular cystadenoma of the prostate presenting as a giant pelvic mass[J].British J Radiol,2009,82(982):200-1.
[23] LEE TK,CHUANG ST,NETTO GJ.Conventional prostatic adenocarcinoma arising in a multilocular prostatic cystadenoma[J].Pathol Int,2010,60(5):413-416.
[24] MOSHARAFA A A,TORKY M H,RAGAB Y,et al.Prostate cystadenoma presenting with obstructive azoospermia[J].J Androl,2011,32(4):364-366.
[25] 湛海伦,陈雪莲,王喻,等.腹腔镜巨大前列腺囊腺瘤切除一例报告并文献复习[J/OL].中华腔镜外科杂志,2013,6(2):143-146.
[26] DAVIDE A E R,ZAGO T,VERDUCI G,et al.Transperitoneal laparoscopic treatment for recurrence of a giant multilocular prostatic cystadenoma:a case report and review of the literature[J].Arch Ital Urol Androl,2016,88(1):66-67.
[27] 左文仁,朱清毅,张扬,等.巨大多房性前列腺囊腺瘤切除1例报道[J].现代泌尿外科杂志,2018,23(7):561-562.
[28] 于保婷,刘硕,赵儒全,等.前列腺囊腺瘤MRI表现1例[J].中国医学影像技术,2018,34(12):1824.
[29] El-ASMAR JM,SAADE C,DERGHAM M,et al.Multimodality approach to imaging giant multilocular cystadenoma of the prostate:a rare entity[J].Radiol Case Rep,2019,14(9):1117-1122.
[30] CHEN JY,ZHANG W,CHEN H,et al.Imaging and clinical features of giant multilocular prostatic cystadenoma:a case report[J].Medicine (Baltimore),2020,99:e22666.
[31] KONG JJ,LI HZ,ZHENG KW.Giant multilocular prostatic cystadenoma in a 16-year-old male with difficulty in defecation:case report and literature review[J].Int J Clin Exper Pathol,2020,13(6):1468-1473.
[32] FAN LW,CHANG YH,SHAO IH,et al.Robotic surgery in giant multilocular cystadenoma of the prostate:a rare case report[J].World J Clin Cases,2020,8:4215-4222.
[33] CHOI TS,LEE DG,YOO KH,et al.Rapid recurrence of giant multilocular prostatic cystadenoma after laparoscopic excision for primary case:a case report[J].Medicina (Kaunas),2021,57(9):870.
[34] ALZAWAHREH MK,ALTAMMEMI A B,ALSHALAH M I,et al.Giant multilocular prostatic cystadenoma in a young man:a case report from Jordan[J].Clin Case Rep,2022,10:e05517.
本刊投稿唯一途径《现代泌尿外科杂志》官网
网址:http://jmurology.xjtu.edu.cn/
编辑部电话: 029-82657054
请勿相信其他任何网站或个人代理投稿,谨防上当受骗。
点击下面的“阅读原文”下载本文PDF。
现代泌尿外科杂志 ∣您的伙伴
小提示:87%用户已下载掌上医讯App,更方便阅读和交流,请扫描二维码直接下载App
(本网站所有内容,凡注明来源为“掌上医讯”,版权均归掌上医讯所有,欢迎转载,转载请注明出处,否则将追究法律责任。凡是本网站注明来源为其他媒体的内容为转载,版权归原作者所有,转载仅作分享,文章观点不作为掌上医讯观点,如有侵权,请及时联系我们,联系电话:0532-67773733)