跖骨骨折(MF)约占所有足部和踝关节骨折的88%,占所有足部骨折的35%,占所有骨骼损伤的7%。年龄较大的女性最容易出现,在一般人群中男女比例为2:1,而男性在运动员中更常受影响。【1,2】
更常见的骨折是第五跖骨骨折,其次是中间跖骨骨折(第二、三、四跖骨),最后是第一跖骨骨折。而在中间跖骨骨折中,第三跖骨是最容易累及的。【2】
中间跖骨骨折的诊断主要的依据是损伤机制,临床上的体格检查以及影像学资料。最常见的损伤机制是高处坠落以及前足固定下的扭转暴力。【2】
当患者有糖皮质激素类药物使用史或者患有骨质疏松症时,中足的肿胀疼痛需要考虑到跖骨应力性骨折的发生。对于所有的跖骨骨折患者,仔细检查跖趾关节以及跖跗关节,当出现足底瘀斑时,不应排除Lisfranc损伤,以免遗漏,造成远期预后不良。
治疗目的:
1.获得骨折的良好愈合
2.维持前足跖骨之间形成的抛物线结构
3.维持矢状面上跖骨头的位置,保持骨折端的良好接触,维持前足功能
治疗方式选择:
所有未移位的跖骨骨折都可以采取保守治疗的方式以获得良好的临床预后,同时需要注意的是,跖骨骨折的移位程度与骨折的预后呈现一定的相关性,并且移位的程度会影响治疗方式的选择。
Cakir等人的研究中显示,朝任意方向的超过2mm的移位会造成一个相对较差的临床预后【1】目前的共识是成角小于10°,移位小于3-4mm的都可以进行保守治疗,但是仍然存在不小的争议。
保守治疗:
3-6周的患肢制动,但是需要注意的是保守治疗需要定期进行连续x线随访(第1、4和第6周),以防止随后碎片的移位,并随着时间的推移跟踪骨折的演变。
手术治疗:
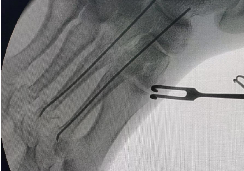
根据文献,建议对任何移位大于3-4 mm,角度大于10°的骨折进行复位。【3】首推小切口的手术方式,因为大切口往往会影响跖骨周围的血运以及较高的切口并发症。用髓内克氏针固定时目前认为的金标准,逆行髓内固定是治疗单纯性中间跖骨骨折最常见的方法。克氏针应通过跖骨头或相对应的的近端趾骨基部插入。
Baumfeld等人提出顺行克氏针髓内固定方法来替代逆行克氏针髓内钉技术,并且认为,顺行置入克氏针相较于逆行技术具有感染率低,软骨破坏程度小等优势,术后6周完全负重,克氏针将会在术后6-8周。

目前对中间跖骨骨折的手术指针虽然有一定的共识,但是仍然存在争议,相较于传统的切开复位内固定方式,新的髓内固定技术出现减少了并发症的风险,值得临床骨科医师学习。
参考文献:
1. Cakir H, Van Vliet-Koppert ST, Van Lieshout EM, De Vries MR, Van Der Elst M, Schepers T. Demographics and outcome of metatarsal fractures. Arch Orthop Trauma Surg. 2011;131:241–5
2. Petrisor BA, Ekrol I, Court-Brown C. The epidemiology of metatarsal fractures. Foot Ankle Int. 2006; 27:172–4.
3. Shereff M. Complex fractures of the metatarsals. Orthopedics 1990;13(8):875–82.
4. Baumfeld D, Macedo BD, Nery C, Esper LE, Filho MA. Anterograde percutaneous treatment of lesser metatarsal fractures: technical description and clinical results. Rev Bras Ortop. 2015 Nov 4;47(6):760–4
小提示:87%用户已下载掌上医讯App,更方便阅读和交流,请扫描二维码直接下载App
(本网站所有内容,凡注明来源为“掌上医讯”,版权均归掌上医讯所有,欢迎转载,转载请注明出处,否则将追究法律责任。凡是本网站注明来源为其他媒体的内容为转载,版权归原作者所有,转载仅作分享,文章观点不作为掌上医讯观点,如有侵权,请及时联系我们,联系电话:0532-67773733)