直肠癌联合脏器切除手术中盆腔侧方间隙再认识

来源:魏大夫学习笔记作者:魏星时间:2023-05-12 阅读:8044评论:0赞:0 有0人参与

在陈主任领衔下,笔者团队总能碰到一些经过多番治疗,被多家医院退回,诊治极为困难的患者。这类非常规的患者,往往要通过非常规的手术治疗,而这种高难度手术意味着不确定性的增加。这种不确定一方面是获益,一方面是风险,外科手术永远是在获益和风险两者之间做平衡,但是可以确定的是,没有外科医生的主动冒险就没有患者最大程度的获益!

外科医生敢于接招这样的病人,挑战这样的手术,可以说,就像救场和救火队员一样,完全是出于医者仁心,替穷途末路的病人着想。也正是因为敢于直面这样高难度、高复杂、高风险的手术,更反映出外科医生对技术孜孜不倦的追求和对职责永不妥协的坚守

本周,团队完成了1例局部晚期直肠癌性全盆腔切除的患者,这是1例在术前被认为不可能完成的任务,在陈主任胆大心细及高超技艺的操作下。肿瘤被成功切除。虽然肿瘤的切除到患者痊愈康复还有很长的一段路要走。但术者的临床决策能力和技术,是我辈要认真学习的。

近几年来,陈主任主刀的直肠癌联合脏器切除已经治疗50余例。笔者有幸参与了其中大部分,认识到手术层次及入路是全盆腔脏器切除术成功的关键,其中盆腔侧向间隙(lateral pelvic space,LPS)尤为关键,做惯常规直肠癌手术的医生对这一间隙知之甚少。本周笔者在这方面进行了学习,记录如下。

病例资料

患者,男性,59岁,确诊直肠癌9月入院,患者9月前因出现便频及大便性状改变当地医院行肠镜检查:距肛门5cm左右,可见黏膜不规则隆起,部分呈菜花样改变。肠镜病理提示:(直肠)中分化腺癌。腹盆腔CT: 直肠、乙状结肠MT侵及前列腺考虑。2022-3-21开始予FOLFOX6方案化疗。5月PET/CT:直肠癌化疗后,现直肠软组织肿块,FDG代谢增高,考虑治疗后仍有肿瘤活性,累及外膜,精囊腺及前列腺。5-24开始行盆腔放疗。一程放疗结束后予二程缩野加量放疗,7月起XELIRI方案化疗。10月因肠梗阻外院全麻下行腹腔镜下横结肠造口术。术中探查:肿块位于直肠腹膜返折处,突破浆膜侵犯膀胱及周围盆腔组织,肿瘤向周围侵犯致盆腔组织僵硬,无明显界限,肠腔狭窄,中间淋巴结可扩及肿大,并融合。术后病理诊断:“直肠”腺癌。微卫星稳定性(MSS)。KRAS基因G12X突变。NRAS基因突变均未检测到,为阴性。KRAS基因G12D突变。BRAF(-)。现患者大便次数较多,直肠刺激症状明显。排出物稀黑便、夹血块,恶臭。为进一步诊治转来我院。入院诊断:直肠恶性肿瘤CT4bN2Mx MSS KARS突变。


患者于2023年1月2日行全盆腔脏器切除术。术中直肠乙状结肠巨大占位,占据整个盆腔。侵犯前列腺及膀胱,双肾盂扩张,输尿管积水。


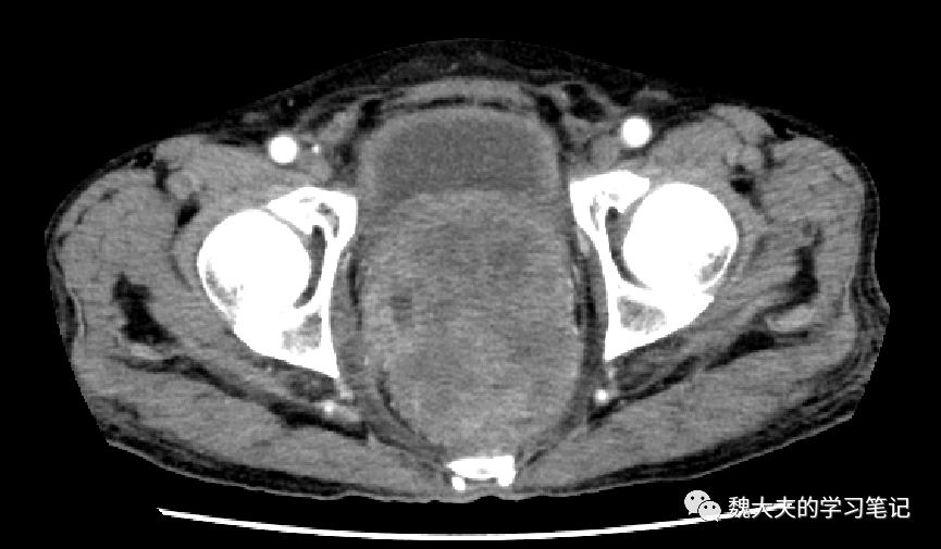
影像学资料:

图片

术前CT增强提示直肠乙状结肠占位,侵犯前列腺及膀胱底部,双肾盂扩张,输尿管积水

图片

图片

  术前 MR检查见直肠巨大占位

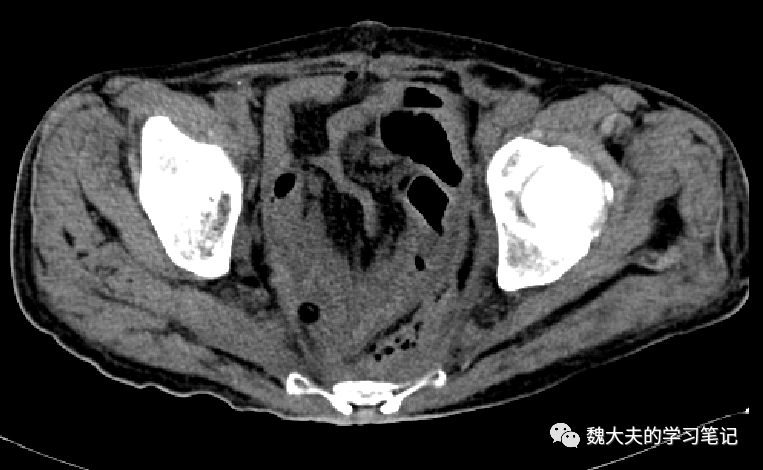
图片

术后CT平扫


盆腔联合脏器切除手术适应证

 直肠癌盆腔手术分为经典的全盆脏器切除术(total pelvic exenteration,TPE);前盆腔脏器切除术(anterior pelvic exenteration,APE);后盆腔脏器切除术(posterior pel⁃vic exenteration,PPE);其他不规则的盆腔脏器联合切除术(如直肠联合输尿管、精囊腺、部分前列腺、卵巢、部分子宫、骶尾骨等手术)


适应症:

  1.术前影像学评估为可R0切除病人;

  2.无不可切除的远处转移灶;

  3.身体状况良好,能够耐受手术。

  4.当直肠局部症状如局部穿孔、脓肿感染、内瘘或出血与不可切除的远处转移灶并存时,建议多学科会诊权衡PE手术的利与弊。


禁忌证:

 1.一般情况差或存在心肺功能等问题不能耐受大手术;

 2.肿瘤侵犯骶2水平以上;

 3.骨盆侧壁或重要结构受侵,如坐骨神经、髂外血管或骨性骨盆;

 4.伴有不可切除的远处转移灶。


PE手术解剖层面

PE手术的间隙包括测方:盆腔侧向间隙(lateral pelvic space,LPS)、前方:盆腔前间隙(anterior pelvic space,APS),及后方直肠后间隙。


图片

   

1.盆腔侧方间隙(lateral pelvic space LPS)

 无论是 TPE、APE还是 PPE,亦或为不规则 PE手术,均需要进入 LPS,只是侧向间隙分离层面或髂内血管切除的范围不同,因此PE手术最核心的问题仍是对LPS的解剖认识。

(1)LPS的定义 

LPS是指腹下神经前筋膜与壁层盆腔筋膜之间的区域,内含输尿管、髂血管、躯体神经(闭孔神经和腰骶干)、盆腔自主神经(腹下丛、盆神经丛和神经血管束) 和淋巴脂肪组织。

(2)LPS 的边界

内侧界为腹下神经前筋膜;

外侧界为由髂腰肌、耻骨梳、闭孔内肌和肛提肌联合组成的外侧平面;

头侧界为髂总动脉和髂外动脉的上缘;

尾侧界为肛提肌腱弓,

腹侧界经膀胱外侧间隙与APS相通;

背侧界由髂内动静脉、腰骶干、骶神经及梨状肌共同组成。

LPS 呈现为头侧、腹侧敞口,背侧、尾侧缩口的口袋状结构。


2.盆腔前间隙(anterior pelvic space,APS)

又名耻骨后间隙(Retzius隙)或膀胱前间隙,为膀胱前列腺前趾骨后的疏松结缔组织间隙。前界为耻骨联合、耻骨上支、闭孔内肌筋膜;后界为膀胱(前列腺);两侧界为脐内侧韧带,并与闭孔内肌筋膜间隙相通;上界为壁腹膜折返至膀胱上面处;下界男性为盆膈和耻骨前列腺韧带,连结前列腺至耻骨联合下缘,女性为盆膈和耻骨膀胱韧带(连结膀胱颈至耻骨联合下缘)。耻骨前列腺韧带或耻骨膀胱韧带成对,左右各一,两韧带之间有阴茎(或阴蒂)背深静脉浅深支及交通支组成的阴茎背静脉复合体(dorsal vein complex,DVC)通过。


3.直肠后间隙

由直肠固有筋膜和骶前筋膜构成的间隙,中间还有植物神经前被膜和盆腔脏层筋膜,四层筋膜结构分隔直肠后间隙为A、B、C三个间隙。


图片

PE手术LPS入路

     盆腔联合脏器切除前方及侧方 3 个无血管筋膜平面由内及外依次为输尿管腹下神经筋膜(ureterohypogastricnerve fascia,UNF)、膀胱腹下筋膜(vesicohypogastric fascia,VF)和壁层筋膜(parietal pelvic fascia,PPF)

图片

图片引自汤坚强   腹腔镜盆腔脏器联合切除术中意外及对策 中国实用外科杂志


      UNF 的标志为输尿管及腹下神经。此筋膜包裹腹下神经、盆神经丛和输尿管,其内侧与直肠固有筋膜相邻,底部附着于肛提肌和尾侧与膀胱相连。

      VF 的解剖标志是脐动脉,后者是髂内动脉的第一个前向分支,它穿过腹壁,到达脐部。VF由髂内血管和其脏支(如膀胱、子宫和直肠支)及其中的淋巴脂肪组成,分为内外侧两叶,并前后包裹膀胱。

      PPF 的解剖起始标志是髂外血管,沿其背侧向尾侧,依次为闭孔内肌筋膜(覆盖闭孔肌)、梨状肌筋膜(覆盖梨状肌)和盆膈上筋膜(覆盖肛提肌)


1.UNF 入路 

      当侧盆壁局部或输尿管局部受侵或精囊腺受侵时,需联合行部分盆壁、输尿管段或精囊腺切除,可以先行 UNF 间隙游离,离断膀胱上血管或精囊腺动脉,先将肿瘤联合侧盆壁、输尿管整体游离,于髂总动脉水平显露输尿管,并分离,血管吊带牵拉输尿管予以保护。多数情况下输尿管与肿瘤为炎性粘连,两者可分开;少数情况输尿管被肿瘤侵犯,需将受侵输尿管的近端及远段游离,行输尿管部分切除,输尿管对端吻合或者将输尿管膀胱再植术;当精囊腺受侵时,在输尿管全程显露后,先离断输精管,提起其断端走行至精囊腺输精管的腹侧面,并在前列腺上缘离断输精管,行联合输精管精囊腺切除。


2.VF入路

     膀胱侧壁或三角受侵时,需行膀胱大部切除或全(前)盆腔脏器切除。游离 VF,离断髂内血管的脏支,包括脐动脉、膀胱上血管及膀胱下血管,游离Retzius间隙,切除受侵膀胱壁或全膀胱切除。


3.PPF入路 

     侧盆壁广泛受侵或可疑侧方淋巴结转移时,需行联合侧方淋巴结清扫。可沿髂外血管外侧沿髂腰肌、耻骨梳分离,或沿髂外静脉下缘分离,沿闭孔内肌筋膜间隙游离肿瘤及盆侧方组织,游离闭孔神经,离断闭孔动静脉闭孔端,直至肛提肌腱弓,然后沿髂内动脉依次离断各脏支,直至肛提肌平面,将侧方淋巴结连同直肠标本整块切除。


PE手术出血并发症的处理原则

 一.髂内血管出血  

 了解髂内血管的分支组成是预防侧方游离出血的先决条件。

1.髂内血管组成

 髂内动脉由壁支和脏支组成,壁支包括闭孔动脉、臀上动脉、臀下动脉、髂腰动脉和骶外侧动脉等;脏支包括脐动脉、子宫动脉(女)、精囊腺动脉(男)、膀胱上动脉、直肠中动脉、膀胱下动脉(可数支)及阴部内动脉等。髂内动脉分支众多,多数分支伴行静脉,因而 LPS 操作时出血时有发生。

图片



图片

2、髂内血管出血的特点表现

(1)髂内动脉压力大,可达105~160 cm H2O(1 cm H2O=0.098 kPa),出血为喷射性,纱布压迫效果常不佳;

(2)由于盆腔操作空间小,容易形成血池,对助手吸引器使用技术要求高;

(3)常伴髂内静脉分支出血,而髂内静脉的压力为下腔静脉的2~3倍,出血虽非喷射性,但较为凶险,增加止血难度。


3.处理原则

髂内动脉出血的主要处理原则是快速控制髂内动脉近心端,并尽可能控制破口远端。主要方式有丝线结扎、钛夹、Hem-o-lok 或生物夹夹闭;当出血部位不易结扎时,可选择 Prolene 线缝合。

髂内静脉大出血时,先用纱布压迫出血部位,游离髂内动脉主干,可用无损伤血管夹暂时控制动脉,紧急情况也可以夹闭髂内动脉主干,髂内静脉主干出血多数情况无法用Hem-o-lok或生物夹夹。需要Prolene线缝合。


二、DVC出血

 阴茎背深静脉复合体(dorsal vein complex,DVC)为 TPE 或 APE 术中出血的另一好发部分。

持续的炎症刺激或进展期直肠癌肿瘤侵犯内生殖器致滋养血管增加,加之肿瘤压迫造成DVC血流回流障碍,DVC的血流及滋养血管较前列腺癌手术丰富;此外,巨大直肠肿瘤向前顶起膀胱前列腺,也使 PE 手术病人的 DVC 处理更加困难。如何控制好DVC出血,首先要正确认识耻骨前列腺复合体的解剖结构,其由耻骨前列腺韧带、纤维肌肉结缔组织、耻骨尿道韧带及DVC组成。耻骨前列腺韧带使膀胱颈和近端前列腺悬垂于耻骨联合,纤维肌肉结缔组织在垂直平面上定向并与耻骨前列腺韧带一起形成“T”形结构,耻骨尿道韧带保持尿道膜部的悬空

DVC则是阴茎背静脉进入耻骨后间隙的延续,并在耻骨弓下方通过。腔镜下 DVC 的处理,最常用的方法为用可吸收线或倒刺线先行缝扎以减少离断前列腺尖部的出血,而双极电凝为最常用的止血利器,如低位直肠癌需行经腹会阴联合切除手术时,TPE 手术可完成经会阴入路的DVC离断,该法较腹部操作更为简单


总结

1.无论是 TPE、APE还是 PPE,亦或为不规则 PE手术,均需要进入 LPS,因此PE手术最核心的问题仍是对LPS的解剖认识;


2. LPS的3 个无血管筋膜平面由内及外依次为输尿管腹下神经筋膜、膀胱腹下筋膜,和壁层筋膜。不同侵犯程度需从不同层次进入;

  

3.LPS常见术中意外及术中大出血,包括髂内血管出血及阴茎背深静脉出血,了解其解剖并以合理的方法进行处理尤为重要。


参考文献

汤坚强   腹腔镜盆腔脏器联合切除术中意外及对策 中国实用外科杂志

陆立,任东林  盆腔脏器联合切除术在局部晚期直肠癌和局部复发直肠癌中的应用现 结直肠肛门外科

顾晋  局部晚期结肠直肠癌治疗和联合脏器切除 外科理论与实践


作者介绍

图片

▲魏星

浙江中医药大学附属第一医院(浙江省中医院)胃肠外科 副主任医师

学术兼职:中国中西医结合学会围手术期专委会 青年委员;浙江省抗癌学会大肠癌专委会 青年委员;浙江省抗癌协会肿瘤微创专委会 青年委员;浙江省数理医学会盆腔整合医学青年委员 ;浙江省中西医结合学会围手术期专委会秘书。

擅长领域: 擅长胃肠外科外常见微创手术及中西医结合综合治疗,主攻低位直肠保肛手术,对中西医结合促术后快速康复及术后疲劳治疗方面有深入研究。

成果荣誉:主持或参与国家自然基金2项,科技部支撑计划1项,省部级及厅局级课题多项。第一或通讯作者发表SCI文章2篇,核心期刊杂志10余篇,研究成果获浙江省中医药科技技术创新一等奖1项。


小提示:87%用户已下载掌上医讯App,更方便阅读和交流,请扫描二维码直接下载App

(本网站所有内容,凡注明来源为“掌上医讯”,版权均归掌上医讯所有,欢迎转载,转载请注明出处,否则将追究法律责任。凡是本网站注明来源为其他媒体的内容为转载,版权归原作者所有,转载仅作分享,文章观点不作为掌上医讯观点,如有侵权,请及时联系我们,联系电话:0532-67773733)

共有0人参与讨论