患者女性,67岁,因“乳腺影像学诊断异常5个月余”入院。
患者1989年曾于外院行右乳良性肿块切除术,具体性质不详。患者于2011年12月23日因“乳腺超声、钼靶、MRI结果不符”参加本中心多学科讨论,对MRI所示的左乳内下肿物再次行乳腺超声及钼靶核片,均未发现相应病灶。
患者于2011年10月8日体检,体格检查及乳腺超声均无异常发现。
钼靶提示:左乳内侧小片状局灶不对称密度影,边缘欠规整,拟诊BI-RADS 4A类(图1,2)。遂行MRI检查,提示:左乳内下不规则强化结节2枚,拟诊BI-RADS 4B类(图3)。
放射科主任读片建议:钼钯下所示病灶良性可能大,暂时可不考虑活检;MRI下的病灶,根据其形态特征和信号强度曲线,需考虑恶性可能,建议活检。
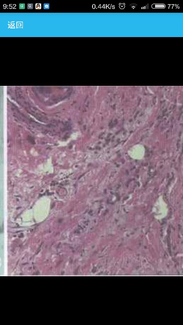
患者于2012年3月9日行乳腺MRI引导下真空负压旋切术(MR-guided vacuum-assisted breast biopsy,MR-VAB),术后病理证实:左乳浸润性导管癌。患者于2012年3月14日行左乳腺癌改良根治术(图4)。术后病理示:左乳内下浸润性导管癌,I级(图5),病灶2个,长径分别为0.5cm及1.0cm,雌激素受体(+++),孕激素受体(-),CerbB-2(+),Ki67 1%(+),腋下淋巴结13枚均未见肿瘤转移;病理分期为T1N0M0。术后患者服用第三代芳香化酶抑制剂进行内分泌治疗,未行化疗和放疗。