确诊
病例图片

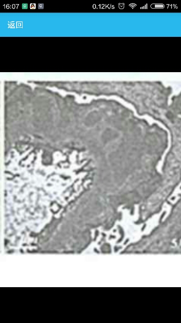
因“水肿、蛋白尿8 月”就诊。 体温36.8℃,脉搏88次/min,呼吸 20次/min,血压135/85 mmHg,身高165 cm,体重70.4 Kg,体质量指数(BMI) 25.8 Kg/m^2。神态清楚,精神尚好,扁桃体无肿大,心脏听诊无明显杂音,两肺听诊呼吸音清晰,腹膨隆,无压痛及反跳痛,未触及包块,移动性浊音阳性,肝上界位于右锁骨中线第5肋间,下界位于右季肋下缘,肝区无叩痛,全身浅表淋巴结无肿大,双下肢轻度水肿。神经系统体检未见明显异常。 患者2012年3月无诱因出现腹泻、腹痛、双下 肢水肿,当地医院查尿蛋白2+,隐血阴性,血白蛋 白偏低,血清肌酐( SCr)正常,予输“白蛋白”、利尿 消肿等治疗。 2012年4月水肿加重至当地医院检 查,腹部CT示肝硬化、脾大、腹水,尿检及生化检查 结果不详,予“白蛋白”、“金水宝”、“呋塞米”及中 药汤剂(成分不详)治疗,症状反复。 2012年9月初 我科门诊查尿蛋白定量6. 33 g/24h,白蛋白26.6 g/L,低密度脂蛋白 (LDH)、γ谷氨酰转移肽酶(γ-GT)偏高,SCr正常。拟“肾病综合征”收入科。病 程中精神、饮食、睡眠尚可,近1年体重下降约10 Kg。无不规则发热、脱发、口腔溃疡、皮疹、关节痛、 腹泻、夜尿增多。 尿液:尿蛋白定量3. 45~6.33 g/24h,尿沉渣 红细胞计数1.0万/ml,白细胞0~1/HP,管型阴性;a2巨球蛋白(cX2-MG) 32 mg/L,C3 32 mg/L,视黄醇 结合蛋白( RBP) 0.2 mg/L,N-乙酰-β-D-氨基葡萄糖苷酶( NAG)154.7 U/g .Cr,尿渗量544 mOsm/ kg.H20,尿κ轻链68.41 mg/L,尿λ轻链16. 44 mg/L,κ/λ比值4. 16,尿本周蛋白阴性。 血常规:血红蛋白148 g/L,白细胞计数5.8× 10^9/L,中性粒细胞/淋巴细胞55%/35 %,血小板计 数200 x10^9/L。 血生化:白蛋白24.1g/L,球蛋白28.6g/L,尿素氮4.5 mmol/l,SCr 49.5 μmol/l,尿酸439 μmol/L,胱抑素C 1.12 mg/L,总胆红素8.8 μmol/L,直接胆红素1.6 μmol/L,间接胆红素7.2μmol/L,谷丙转氨酶18 U/L,谷草转氨酶31 U/L, 乳酸脱氢酶268 U/L,碱性磷酸酶113 U/L,γ-GT 315 U/L,总胆固醇10. 03 mmol/L,三酰甘油2.48 mmol/L,前白蛋白169 mg/L,钠137.2 mmol/L,钾 4. 21mmol/L,氯105.8 mmol/L,二氧化碳总量24.1 mmol/L,钙2.00mmol/L,磷1.11mmol/L。空腹血 糖5.8~9.6 mmol/L,餐后血糖6.7—12.9 mmol/L, 糖化血红蛋白6. 1%。 免疫学: ANA、A-dsDNA、ENA多肽抗体谱均阴性,补体C3 1.5g/L,C4 0.26 g/L,IgG 10.6g/L,IgA 3. 93 g/L,IgM 2.38 g/L,IgE 208.0 IU/ml,链球菌溶血素“0” < 25 IU/ml,类风湿因子<20 IU/ml,外周血淋巴细胞亚群CD4+ 969个/μl,CD8+ 517个/μl; 血κ轻链29.41 mg/L,λ轻链31. 35 mg/L,κ/λ比值0. 94;免疫固定电泳未见异常单克隆免疫球蛋白条带,抗磷脂酶A2受体抗体阳性;HBV-DNA无病 毒复制;肿瘤标记物甲胎蛋白、癌胚抗原9.2llg/L、前列腺特异性抗原未见明显异常,乙肝两对半:抗 HBsAb、抗HBcAb,余阴性,32微球蛋白4.6 mg/L (参考值0.9~2.7 mg/L)。 肾脏超声: 左:110 mm×50 mm×55 mm,右:115 mm ×48 mm×57mm,皮质回声稍增强。 辅助检查 影像学检查消化系统超声:慢性肝损害声像 图表现;胆囊继发改变;腹水;胰脾未见占位;门静脉彩色多普勒检查未见异常。 胸片:左下肺片状 肺不张;(1)主动脉粥样硬化。 心脏超声:主动脉瓣钙化,前向血流速度加快;(2)左室舒张功能减低;(3)升主动脉内径32 mm,左心房内径43 mm,右心室内径26 mm,室间隔厚度9 mm,左心室内径46 mm,左室后壁厚度10 mm。 颈部血管超声检查提示:双侧颈动脉粥样硬化伴斑块形成;双侧颈内 动脉及椎动脉阻力增高。 下肢血管超声:双下肢动脉粥样硬化伴斑块形成,其中左侧胫前、胫后动脉管腔狭窄,狭窄率约75 010,右下肢胫后动脉管腔狭窄,狭窄率约65 010;双下肢静脉彩色多普勒检查 未见异常。 眼底:左眼动静脉比例1:2,动脉硬化 程度2级,右眼白内障,眼底窥不入。 心电图窦性心律、T波改变。 骨髓穿刺及骨髓活检大致正常骨髓象,浆细胞比例2%。 肾活检病理 光镜 皮质肾组织1条。18个肾小球中1个球性废弃。余正切肾小球体积增大,毛细血管袢开放僵硬状;肾小球系膜区轻度增宽,包囊壁增厚、分层。PASM-Masson:肾小球毛细血管袢上皮侧较多嗜复红物沉积,节段钉突形成。肾小管间质慢性病变轻度,多灶性肾小管萎缩、基膜增厚,少数非萎缩小管基膜亦增厚,少数小管上皮细胞刷状缘脱落、上皮细胞浊肿、细颗粒变性;肾间 质轻度增宽。小动脉内膜增厚、弹力层分层,数处见 透明变性,多处见平滑肌细胞空泡变性。 肾组织刚果红染色:肾小球阴性,数处管周毛细 血管壁及肾间质阳性,偏振光下见苹果绿双折光。 皮肤刚果红染色:皮肤组织毛囊周围平滑 肌及小血管刚果染色阳性,偏振光下见苹果绿双折 光。 免疫荧光IgG++、C3++,呈颗粒状弥漫沉积于血管袢。轻链染色:κ轻链++、λ轻链+ +,呈颗粒状弥漫沉积于血管袢,所观切片包曼囊壁、肾小管基膜、间质血管壁未见阳性。肾组织乙肝标记物染色阴性。IgG亚型染色IgGl++、IgG2++、 IgG3+、IgG4+++,呈颗粒状弥漫分布于血管袢。 A蛋白染色未见阳性。皮肤轻链:由于淀粉样变性 分布很局限,无法明确染色结果。 电镜观察1个肾小球,毛细血管袢上皮侧较多高电子密度致密物沉积,致密物被“钉突”分隔或少数被包绕至基膜内,数处见电子致密物吸收形成透亮区。 肾小球毛细血管袢开放好,基膜厚约330~ 690 nm。肾小球系膜区轻度增宽,系膜区及基膜内皮下未见电子致密物沉积。肾小球足细胞足突广泛融合> 90%,较多微绒毛化。一处肾间质及管周毛细血管壁见直径为8-12 nm的细纤维丝分布。 诊断: (1) 肾小球膜性病变(Ⅲ~Ⅳ期)合并系统性淀粉样变性(累及皮肤、肾脏);(2)高血压病(3级、极高危组);(3)2型糖尿病;(4)多发动脉粥样硬化。

马甲 1 0

上海医师在线信息技术有限公司 版权所有 ©   沪ICP备12005625号-1