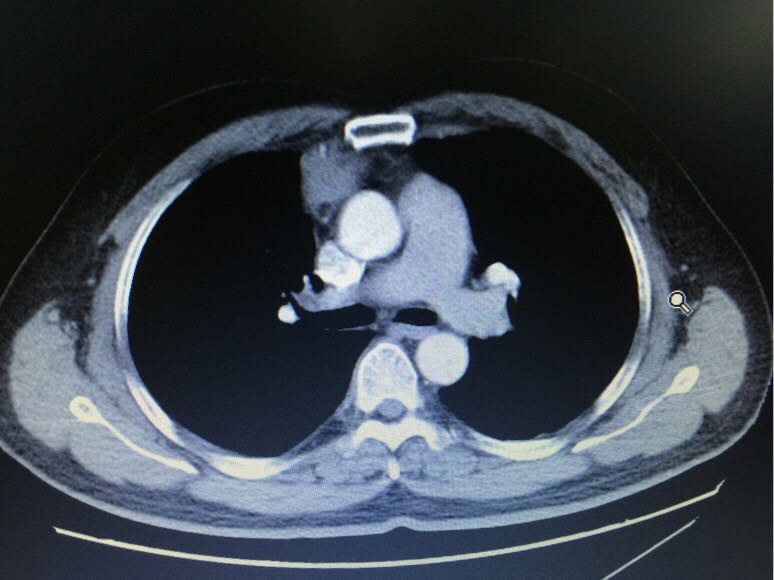
中年男性,体检发现纵膈肿物半月,无胸痛、胸闷,无四肢无力,无眼睑下垂等不适。胸部CT如下。既往乙肝病史多年,未予特殊治疗;曾行阑尾切除术。余无特殊。查体未见明显异常。本次为明确诊断住院,考虑什么?
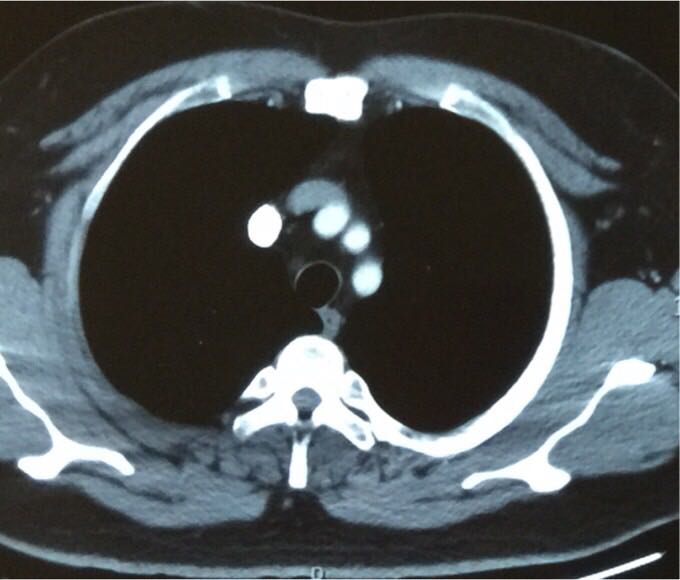
青年男性,无不适症状,体检发现前上纵膈一占位,CT见该肿物位于上腔静脉与主动脉之间,与周围组织分界较清,密度较为均匀,CT值约45HU左右。增强后轻度强化。患者无重症肌无力相关症状,考虑什么?
上海医师在线信息技术有限公司 版权所有 © 沪ICP备12005625号-1