影像科

脾脏病变MRI表现-详细最全整理!

*仅供医学专业人士阅读参考脾脏病变MRI表现本文首发:粤C影像科责任编辑:孙颖版权申明 本文转载 欢迎转发朋友圈- End -*医学界力求其发表内容在审核通过时的准确可靠,但并不对已发表内容的适时性,以及所引用资料(如有)的准确性和完整性等作出任何承诺和保证,亦不承担因该些内容已过时、所引用资料可能的不准确或不完整等情况引起的任何责任。请相关各方在采用或者以此作为决策依据时另行核查。...

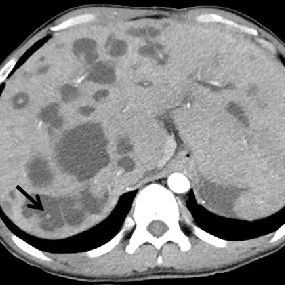
肝脓肿影像诊断

*仅供医学专业人士阅读参考肝脓肿影像表现本文首发:徐医附院影像科责任编辑:孙颖版权申明 本文转载 欢迎转发朋友圈- End -*医学界力求其发表内容在审核通过时的准确可靠,但并不对已发表内容的适时性,以及所引用资料(如有)的准确性和完整性等作出任何承诺和保证,亦不承担因该些内容已过时、所引用资料可能的不准确或不完整等情况引起的任何责任。请相关各方在采用或者以此作为决策依据时另行核查。...

吸烟相关间质性肺疾病影像表现

*仅供医学专业人士阅读参考肺部常见疾病之一, 本文来源:泸州市人民医院影像科本文作者:杨敏责任编辑:孙颖版权申明 本文转载 欢迎转发朋友圈- End -*医学界力求其发表内容在审核通过时的准确可靠,但并不对已发表内容的适时性,以及所引用资料(如有)的准确性和完整性等作出任何承诺和保证,亦不承担因该些内容已过时、所引用资料可能的不准确或不完整等情况引起的任何责任。请相关各方在采用或者以此作为决策依据时另行核查。...

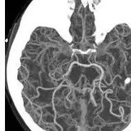
烟雾病和烟雾综合征

*仅供医学专业人士阅读参考烟雾病影像表现 本文首发:徐医附院影像科责任编辑:孙颖版权申明 本文转载 欢迎转发朋友圈- End -*医学界力求其发表内容在审核通过时的准确可靠,但并不对已发表内容的适时性,以及所引用资料(如有)的准确性和完整性等作出任何承诺和保证,亦不承担因该些内容已过时、所引用资料可能的不准确或不完整等情况引起的任何责任。请相关各方在采用或者以此作为决策依据时另行核查。...

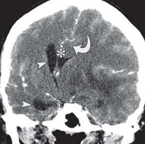
蛛网膜下腔出血影像表现

*仅供医学专业人士阅读参考蛛网膜下腔出血影像表现 医学界医生站APP「疫情动态」,带你第一时间了解新冠疫情最新学术进展,长按下方图片二维码即可查看。本文首发:粤C影像科责任编辑:孙颖版权申明 本文转载 欢迎转发朋友圈- End -*医学界力求其发表内容在审核通过时的准确可靠,但并不对已发表内容的适时性,以及所引用资料(如有)的准确性和完整性等作出任何承诺和保证,亦不承担因该些内容已过时、所引用资料可能的不准确或不完整等情况引起的任何责任。请相关各方在采用或者以此作为决策依据时另行核查。...

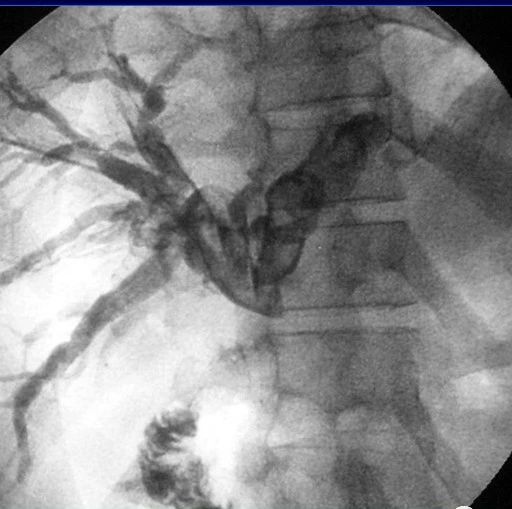
Caroli病鉴别诊断

Caroli疾病影像表现

胆囊炎影像诊断

胆囊炎影像诊断

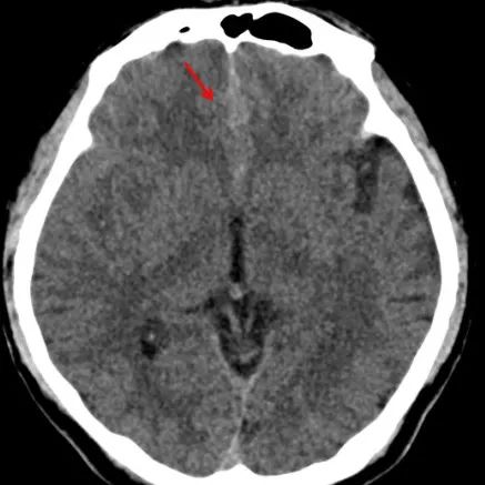
颅内疝影像表现

颅内疝影像表现

医学界影像 2021-02-19

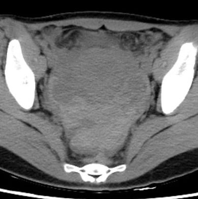
异位妊娠(宫外孕破裂)影像表现

女,24岁,因“停经42天,下腹痛3小时​”入院

医学界影像 2021-02-10

    上海医师在线信息技术有限公司 版权所有 ©   沪ICP备12005625号-1