氟牙症 ( dental fluorosis )
别名: 氟牙症;氟斑牙;斑釉牙;mottled enamel;氟斑釉

《中华口腔医学杂志》2023年3期导读及目次

春暖花开,新一期的杂志即将付梓,本期为“牙发育异常”重点号,由本刊副总编周学东教授与编辑部共同策划完成,重点内容包括专家笔谈、牙体牙髓病学研究论著共5篇文章。现将本期重点内容简要介绍如下。本期重点内容介绍专家笔谈一专家笔谈栏目下共计3篇文章。首都医科大学口腔医学院孙静华副主任医师和侯本祥教授撰写的“乳牙外伤致恒牙发育异常的诊疗策略”一文,对乳牙外伤导致恒牙发育和萌出异常的类型,乳牙外伤引发恒牙发育异常的病因、相关因素,以及治疗方案进行系统阐述,可为乳牙外伤导致恒牙发育异常的诊断、治疗及并发症的预防提供参考。...

中华口腔医 2023-03-06

氟斑牙的治疗方法有几种

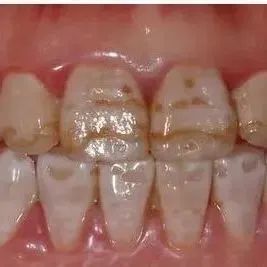
斑釉症(病)又称氟斑牙和黄斑牙,是一种地方病,是牙齿发育时期人体摄入氟量过高所引起的特殊型牙齿釉质发育不全。氟斑牙是地区性慢性氟中毒的一种突出症状,故又称为氟牙症。食物中氟化物的吸收,取决于食物中无机氟化物的溶解度,以及钙的含量。如果加入钙的化合物,则氟的吸收就显著减少。动物实验证实:充分的维生素A、D和适量的钙、磷,可减轻氟对机体的损害。这说明含氟量过高,并不是造成氟牙症的唯一原因,因为水中含氟量稍高的地区,也不是人人皆罹患此症。...

口腔视界 2023-01-30

氟牙症影响因素的研究进展

氟牙症是慢性氟中毒最早出现的体征,是在牙齿发育过程中摄入过量的氟导致牙釉质中矿物质含量降低和孔隙率增加从而引起的一种牙釉质发育不全。轻度氟牙症表现为釉质表面出现白垩色不透明条纹,中度可见点状磨损、棕染,重度可出现釉质的磨损、缺失。

口腔疾病防治 2020-01-20

    上海医师在线信息技术有限公司 版权所有 ©   沪ICP备12005625号-1