腺淋巴瘤
别名: Warthin瘤

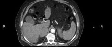
老年男性,左侧腰部疼痛酸胀1月,请诊断!

医学影像  yxyx-app  医学影像APP,打造伴随医生快速成长的影像学习社区。与影像园(Xctmr.com)一起提供最全面的影像案例库、基础(解剖、病理、影像诊断)知识、影像技术及考题等,为医生提供最佳的医学影像参考。【所属科室】泌尿外科【基本资料】患者,男,65岁【主诉】左侧腰部疼痛酸胀1月【现病史】患者于1月余前无明显诱因下出现左侧腰部疼痛酸胀伴头晕,无恶心呕吐,不伴肉眼血尿。...

医学影像APP 2022-03-23

粘膜相关淋巴组织淋巴瘤和唾液腺淋巴瘤患者应排查有无干燥综合征

J Rheumatol. 2018 Nov 13:1-6. doi: 10.1080/03009742.2018.1523456. 中国风湿病公众论坛 liuxiangyuan2013-10

    上海医师在线信息技术有限公司 版权所有 ©   沪ICP备12005625号-1