骨学

大夫,我想要个一周减肥攻略

【新朋友】点击标题下面蓝色字“骨学周讯”关注【老朋友】点击右上角“...”,转发或分享此文转自微信公众号:为了家人学点医来源:猫大夫医学科普

骨学周讯 2021-03-03

这几个错误消毒方法,快避开!

手把手教您做好消毒

骨学周讯 2021-02-03

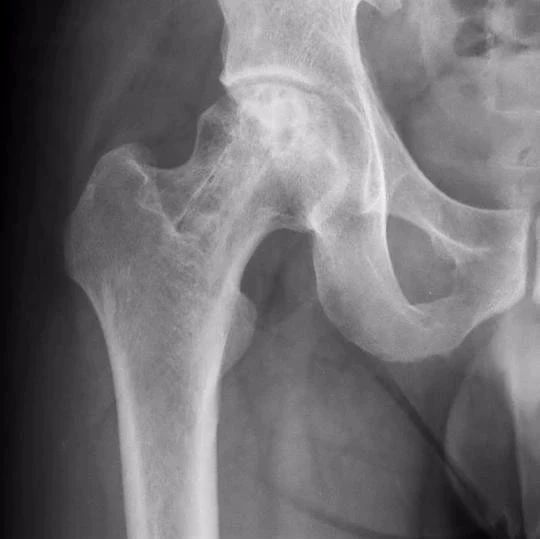
【为家学医课堂】骨质疏松症——破坏总是比建设容易!

骨质疏松是大家所熟知的一个词,但是,到底什么是骨质疏松症?骨质疏松是由哪些原因导致的呢?又有什么影响呢?今天我们就来听一听何医生为我们讲解有关骨质疏松的一些知识。

【为家学医课堂】股骨头缺血性坏死的手术疗法(三)

股骨头缺血性坏死争取早发现早治疗,根据股骨头坏死程度分期,1期的话避免负重,配合中药、理疗可以获得不错的效果。2、3期需要根据具体情况来进行相应的手术治疗。

一图读懂 | 维D缺乏性佝偻病

维D缺乏性佝偻病详解!

骨学周讯 2019-04-03

    上海医师在线信息技术有限公司 版权所有 ©   沪ICP备12005625号-1