吴小材:肿瘤综合治疗后的肠梗阻再次微创手术治疗

来源:掌上医讯作者:吴小材时间:2023-03-31 阅读:4895评论:0赞:0 有0人参与


临床决策分析


患者为中老年女性,就诊经历较为复杂,如下所示:

2015年4月确诊卵巢癌:PET/CT提示盆腔占位,FDG左侧卵巢来源可能,腹盆腔广泛种植转移性结节,肝内多发转移,最大约3*4cm。

2015-04-24行开腹全子宫+双侧附件+大网膜切除+盆腔粘连松解术,病理提示:卵巢中分化腺癌,倾向浆液性乳头状腺癌,brca基因阴性,HRD基因阳性。

2015年5月至2021年12月行化疗(次数约30余次,外加行两次腹腔灌注化疗,方案为5-Fu+DDP。因效果不佳或副反应严重,化疗方案多次更改),期间曾口服尼拉帕利10天。    2017年4月出现剧烈腹痛入院治疗,提示肠梗阻,考虑肿瘤复发导致。入院后予以保守治疗(具体不详)后好转出院。

2021年12月期间反复发作肠梗阻2次,均予以保守治疗好转后出院。

2022年1月肠梗阻再次发作。于当地医院,复查腹部CT提示左侧中上腹部降结肠旁占位伴钙化,提示不全性肠梗阻,予以胃肠减压+灌肠治疗,患者症状好转,并有排便。

2022年1月底带胃管出院,出院后患者自行拔出胃管。出院后患者肛门停止排便排气,腹胀,胃纳差,存在中下腹间断性隐痛。


从以上病史可总结:患者卵巢癌晚期,经历综合治疗后,反复发生肠梗阻。这个患者是否还能进行手术治疗?

患者入院时BMI为19.9(51kg, 163cm), ECOG评分为2分。NRS2002评分为4分。患者入院时查Ca125:613U/ml.

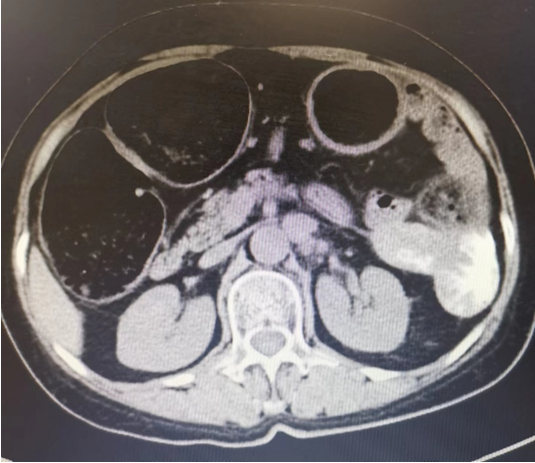
患者原先手术为开放手术,腹部正中可见陈旧手术切口长约16cm,腹部膨隆,未及压痛及反跳痛。腹部CT提示左上腹较大病灶(6.6*4.5cm)累及降结肠至相应管腔狭窄,结肠梗阻,肝S7血管瘤,其余肝脏未见异常(图1)。

图片

图片图1


入院后请内镜中心协助经内镜下放置经肛门肠梗阻导管,肠镜进镜至距肛缘40cm降结肠处肠腔扭曲,粘膜水肿,无法继续进镜,X线下造影观察狭窄长度约1cm。狭窄近端肠腔扩张明显,内镜钳置入胆道导丝通过狭窄段至横结肠,退镜后留下导丝,循导丝置入经肛门肠梗阻导管至横结肠近端。肠梗阻导管置入成功后,每日予以经肠梗阻导管灌肠,充分减压,再次行CT检查发现减压效果良好(图2所示:图2上为平片显示梗阻缓解,图2下为肠梗阻导管通过降结肠肿瘤进入近端肠管减压)。


图片

图2




手术规划及实施


距离肠道梗阻导管置入术后5天,患者梗阻得到充分减压,并进行了术前营养支持。

拟进行腹腔镜探查,并准备行左半结肠切除术。经过术前彩超评估腹腔粘连情况,我们选择在麦氏点内侧做1.0cm小切口,开放法进腹,探查:肿瘤位于结肠脾曲,侵犯结肠并与侧腹膜粘连,肿瘤向内侧种植于结肠系膜,系膜种植大小约5*8cm,近端结肠轻度扩张,首先予以拔出肠梗阻导管。超声刀广泛分离粘连后,沿结肠左侧侧腹膜分离,进入Told’s间隙,将结肠系膜游离,注意保护左侧输尿管及左侧生殖血管沿腹主动脉表面腹膜间隙切开,显露肠系膜下血管根部,骨骼化,沿着肠系膜下血管主干分离,逐渐分离出左结肠血管,在分支血管根部,用Hem-o-lok夹夹闭,保留乙状结肠血管及直肠上血管。

在胰腺下缘分离出肠系膜下静脉,于根部予以Hemo-lock夹夹闭切断,平行远切端肠系膜下静脉亦予以夹闭切断。在肠系膜上动脉根部分离出横结肠血管,骨骼化后沿着血管分离出横结肠血管左半支,用 Hem-o-lok夹夹闭。在胃下缘,胃网膜左血管弓内切开大网膜,完全游离横结肠左半。原旁正中切口约8cm,高频电刀切开逐层进腹,将游离的肠段拉出腹腔,在肿瘤上下端10cm切开肠腔,充分减压后用直线型切割闭合器将远近端行侧侧吻合。术后大体标本检查发现种植肿瘤侵犯结肠全层,导致管腔狭窄(图3)。

图片

图3




病理及讨论


病理诊断:(左半结肠)恶性肿瘤伴坏死,结合病史及免疫组化符合生殖系统来源(考虑为浆液性癌转移/累及),侵犯肠壁浆膜层,可见脉管癌栓,两切端及网膜均未见癌累及,肠旁淋巴结4/12枚见癌转移。免疫组化:(D切片)肿瘤细胞CK-P(+)、CK7(+)、PAX-8 (+)、 P53(3+)、WT-1(部分+)、Her-2(1+)、ER(-)、PR(-)、 CK20(-)、CDX-2(-)、 SATB-2(-)、Vill。

术后继续于肿瘤内科行化疗。


妇科肿瘤如卵巢癌等,化疗效果较好,不少患者可带瘤生存多年。大多数患者去世原因为妇科肿瘤复发导致的肠梗阻,因而积极解除肠梗阻,有助于提高患者的生活质量,乃至预后。


  • 去年底新英格兰发表的重磅随机对照研究(DESKTOP III trial)显示,对比单纯化疗组,复发的卵巢癌再次手术减瘤+化疗组中位OS显著提高(53.7 months VS 46.0 months (hazard ratio for death, 0.75; 95% confidence interval, 0.59 to 0.96; P=0.02)),而得到完全切除的患者效果最好,其中位生存率达61.9个月。在这项研究之前,复发的卵巢癌主流治疗方案仍然示系统性化疗。


  • 正如DESKTOP III trial所提及的,他们发明了一种患者入组新评分标准-- the AGO score,多达76%的患者术前已通过AGO score被预测可进行完全切除。而另外一个在2019年发表于新英格兰((GOG)–0213 trial)的类似研究设计,手术完全切除率为67%,但是它的研究结论完全相反:卵巢癌复发后再次减瘤手术并不能带来生存获益。


  • (SOC-1) trial研究完成了357例患者入组,入组标准用到了international model (iMODEL)或者基于外科医生对患者术前影像血的判断可切除,SOC-1手术组完全切除率达77%,新进报道此项研究的无病生存期结果提示手术组要显著提高。


总体比较之,这三个著名的研究有一个显著的特点是入组标准各有特色,至此我们可以推测:对于复发卵巢癌患者,严格的筛选合适患者进行再次减瘤手术,是有可能延长患者的生存期。而如何精确找到这部分患者是一个具有挑战性又吸引人的问题。


本文仅供医疗行业专业人士学习使用


参考文献:

1. N Engl J Med 2021; 385:2123-2131.

2. N Engl J Med 2019;381:1929-1939.

3. Lancet Oncol 2021;22:439-449.


本文作者



小提示:87%用户已下载掌上医讯App,更方便阅读和交流,请扫描二维码直接下载App

(本网站所有内容,凡注明来源为“掌上医讯”,版权均归掌上医讯所有,欢迎转载,转载请注明出处,否则将追究法律责任。凡是本网站注明来源为其他媒体的内容为转载,版权归原作者所有,转载仅作分享,文章观点不作为掌上医讯观点,如有侵权,请及时联系我们,联系电话:0532-67773733)

共有0人参与讨论